貌似“春困” 实则脑瘤
发布时间: 2015年05月04日 出处:综合神经外科 编辑:谢莉 点击次数:51505
每到春天,人们总是容易犯“困”,感到疲劳、昏昏欲睡,早晨不易睡醒,即使醒后也好似没有睡足。但是并不是出现以上症状就一定是春困,其中也含有一些病理因素,一些“春困”是疾病的表现,比如:糖尿病、心脏病等慢性病因体虚引起的困乏,高血压患者在春天嗜睡,哈欠频频,很可能是中风的先兆等等。因此,应该时刻敲响因疾病引起“春困”的警钟。
【典型案例】
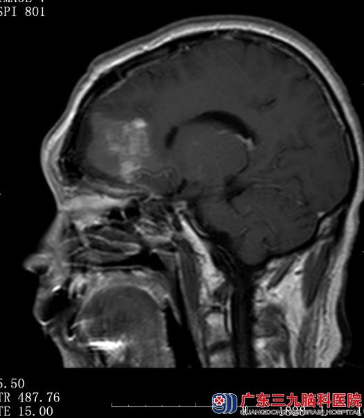
50岁的王先生一向干劲十足。一个月前开始却一改往常,经常出现精神疲倦感,睡眠时间延长,睡眠沉,难以叫醒,同时伴有做事兴趣下降,难以兴奋,近期记忆力也开始下降。以为是春困,按土方法喝祛湿汤,但症状没有改善。当地医院行头颅CT检查提示左侧额叶巨大占位。广东三九脑科医院进一步MR检查提示:左侧额叶病变大小约74.1mm×56.2mm×63.1mm,建议手术切除。

▲MR检查

▲术前CTA
由综合神经外科鲁明主任主刀,在全麻下行前颅窝底脑膜瘤切除术,显微镜下将肿瘤全切,手术顺利。术后王先生自诉困乏感明显好转,现仍在进一步康复中。

▲术后MR
