头痛在后枕部
发布时间: 2015年05月26日 出处:综合神经外科 编辑:谢莉 点击次数:52944
小脑血管母细胞瘤有囊性与实性两种,囊肿型占60%~90%,实质型占10%~40%。一般规律是囊性患者病程短,实体肿瘤生长缓慢,长达数年或者更长。大约80%的病人以头痛为首发症状,而病变位于小脑者可达95%,主要表现为间断性枕下痛。
【典型案例】
二个月前,田师傅开始出现反复头痛,多发于工作疲倦后,休息可缓解,伴头晕脑胀,头痛以枕部明显。
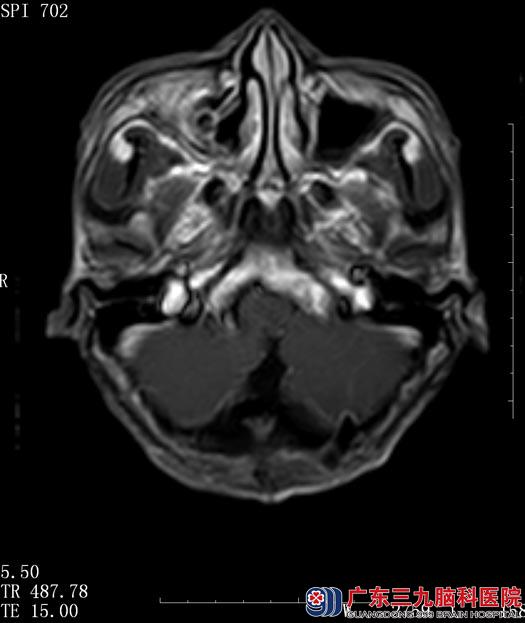
当地医院行头颅CT检查提示“右侧小脑半球囊实性占位病变”。
广东三九脑科医院核磁共振检查结果:“右侧小脑半球囊实性占位,实性部分直径约2cm,考虑血管母细胞瘤”。
综合神经外科鲁明主任阅片后认为:结合患者病史、症状、体征及头颅MR检查,考虑右侧小脑半球血管母细胞瘤,肿瘤呈囊实性,对小脑半球及脑干有压迫,手术指征明确。
5月11日,鲁明主任主刀行 “右侧小脑半球血管母细胞瘤切除术”。术中见右侧小脑半球局部膨隆,压力较高,先用脑穿针穿刺放出部分淡黄色囊液,脑压下降,再切开脑皮层,显微镜下见红褐色肿物,直径约2cm,周围血管丰富,予电凝烧灼供血动脉,完整切除肿瘤,术中未输血。术后,田师傅的头痛、头晕症状缓解,四肢活动良好,病理结果示“血管母细胞瘤”。


▲手术前


▲▂手术后
