突入内听道的听神经鞘瘤
广东三九脑科医院神经外五科手术周记 (2022.01.24-30)
发布时间: 2022年03月15日 出处:神经外五科 编辑:XL 点击次数:4727
男,55岁。3个月前出现右侧面部及舌头麻木,右耳听力下降,伴有头晕不适,当地医院就诊给予中药治疗,治疗后仍有头晕不适,行走不稳,当地医院检查考虑颅内占位性病变。查体:神清,语利。双侧瞳孔等圆等大,直径约2.5mm,对光反射灵敏,右耳听力下降,余颅神经无异常。四肢肌力、肌张力正常,生理反射存在,病理反射未引出。术前诊断:右侧听神经鞘瘤。在全麻下行右侧乳突后锁孔开颅、肿瘤切除术。术中见肿瘤大部分呈囊性变,实质部分主要位于内听道口,在面神经电刺激下找到面神经,予以保护,分块摘除肿瘤,磨开内听道口,在内镜下观察并摘除突入内听道内的部分肿瘤,示内听道内肿瘤已完全切除。肿瘤全切。术后病理诊断为神经鞘瘤。术后仅轻微面瘫,双眼闭合良好。顺利出院。
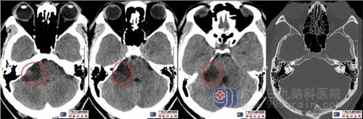
术前头颅CT示右侧桥小脑角区囊实性占位,以囊性为主,实性部分主要在内听道口,病变内血供不丰富,邻近部分血管稍受压,病灶局部突入右侧内听道;右侧内听道较对侧轻度扩张,未见骨质破坏。

术前头颅MRI示右侧桥小脑角区有一大小约35mm×26mm×28mm的团块状囊实性占位性病变,实性部分呈不均等长T1、等长T2信号、Flair序列呈等稍高混杂信号,局部凸入右侧内听道,囊性部分呈长T1、长T2、Flair序列呈稍低信号,增强扫描后实性部分及囊壁可见明显强化,邻近脑干-右侧桥臂-小脑半球明显受压。考虑为囊性听神经鞘瘤。

术中见肿瘤大部分呈囊性变,实质部分主要位于内听道口,在面神经电刺激下找到面神经,予以保护,分块摘除肿瘤,磨开内听道口,在内镜下观察并摘除突入内听道内的部分肿瘤,示内听道内肿瘤已完全切除。肿瘤全切。

术后4小时复查头颅CT示局部未见出血,小脑半球已复胀,肿瘤切除满意。

术后复查头颅MRI示肿瘤切除满意。




