听力下降竟是听神经瘤作怪
发布时间: 2022年03月22日 出处:神经外五科 编辑:XL 点击次数:4247
钟先生用蓝牙耳机听歌时,总是发现右耳的声音更低,原本以为是耳机的问题,可是换了耳机还是一样的情况。钟先生去耳科检查,耳科医生却建议他去看脑外科。家人带着他来到广东三九脑科医院神经外五科,完善相关检查后,初步考虑患者是右侧桥小脑角占位,认为是听神经瘤可能性比较大。钟先生恍然大悟,原来导致他耳朵听力下降的,竟然是颅内长了瘤。
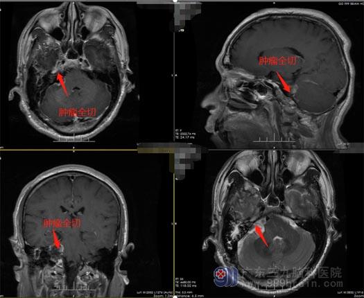
广东三九脑科医院鲁明副院长、神经外五科王国良主任高度重视钟先生的病情,反复讨论后一致同意手术治疗,而手术治疗的难点在于:手术既要切除肿瘤,又要保住患者的神经功能。患者听神经、面神经位于肿瘤的前下方,不仅位置很深,且周围结构复杂,在如此狭小的空间里,要想取出肿瘤,难度和风险可想而知。稍有差池,便会损伤颅神经、脑血管。很快,神经外五科团队为钟先生实施了右侧听神经瘤切除术。术中,医生从患者后侧行8厘米切口,见肿瘤位于右侧桥小脑角,予显微镜下全切肿瘤。术后钟先生神志清醒,因术中各组颅神经保护良好,钟先生无明显颅神经损伤的阳性体征表现,恢复良好。

▲术前

▲术后
该部位肿瘤容易压迫听神经、面神经,人就会出现耳鸣耳聋、面部麻木,甚至是放射性疼痛,这也是导致钟先生出现上述症状的真正原因。因此,患者需及时就医,并选择最佳的个体化治疗方案,在切除肿瘤的同时,尽量保留患者的神经功能。



