视力模糊,鞍区结节脑膜瘤的首发症状
发布时间: 2018年12月14日 出处:综合神经外科 编辑:XL 点击次数:37313
鞍结节脑膜瘤起源于鞍结节,前床突,鞍膈以及蝶骨平台,在临床上统称为鞍结节脑膜瘤。多发生在中年人,病情进展缓慢,视力、视野障碍为鞍结节脑膜瘤最常见症状。几乎所有病人都有视力、视野的改变,80%以上的病人为首发症状。视力障碍多为缓慢、进行性减退,可持续数月或数年。早期一侧视力减退伴颞侧视野缺损,单侧视力障碍占55%,随后对侧视神经和视交叉受压表现为双眼视力下降或双侧视野缺损,双侧视力障碍者占45%,最后可导致失明。
肿瘤的生长有一个渐进的过程,因此许多患者误以为只是暂时性的视力问题而不加重视,而有的医生也常常只往眼疾方面考虑。
年过半百的吴叔半年前突然出现左眼视力模糊,东西看不清,右眼视力正常。吴叔之前既没有近视眼,也不是老花眼,由于没有其他的不适感觉,所以没有引起重视。
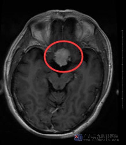
近半个月来,吴叔不仅视物模糊症状加重,还伴有频繁的头晕头痛。在广东三九脑科医院,头颅MR检查结果提示“1.鞍结节占位性病变,考虑为脑膜瘤,2.右侧筛窦炎症”。
明确诊断后,由鲁明副院长主刀行“经前纵裂颞底入路鞍结界脑膜瘤切除术”。术中可见肿瘤两侧临近视神经与颈内动脉,显微镜下细致分块、完整切除肿瘤,垂体柄与重要的血管保护完好。
手术后吴叔的左眼视力及头痛症状都有了明显的好转。

手术前

手术后

