病情发展快、危害程度高的脑胶质瘤
发布时间: 2018年12月17日 出处:胶质瘤诊疗中心 编辑:XL 点击次数:42615
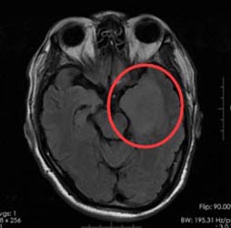
46岁的孙先生,半年前开始出现头疼、头晕症状,肢体活动正常,他觉得这是常有的小毛病,一直没有去医院。直到一周前,孙先生头痛症状加重,当地医院就诊,头部MRI提示左颞岛叶异常信号,考虑为低级别胶质瘤。
广东三九脑科医院进一步检查结果:1、左侧颞叶占位性病变;2、高血压病1级,高危组。
综合神经外科鲁明主任告诉孙先生:胶质母细胞瘤生长速度快,70%~80%患者病程在3~6个月,病程超过1年者仅10%。由于肿瘤生长迅速,脑水肿广泛,颅内压增高症状明显,所有患者都有头痛、呕吐症状,肿瘤浸润性破坏脑组织,造成一系列的局灶症状,以神经功能障碍为最早表现,有时可造成脑积水。鲁主任给出了建议手术的治疗方案。
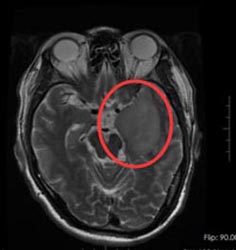
经家属同意后,由鲁主任主刀在唤醒麻醉下行“左侧颞叶占位性病变切除手术”。术前导航定位右颞肿瘤组织,术中给予唤醒麻醉,电生理监测运功中枢,避开功能区,术中快速病理检查考虑Ⅱ级胶质瘤,继续显微镜下分块切除,术中出血量少,过程顺利。术后病检结果与术前诊断相符。


手术前


手术后

