总是头痛 提防脑瘤
发布时间: 2018年12月18日 出处:综合神经外科 编辑:XL 点击次数:38399
脑瘤患者有20%--30%的初期症状就是头痛,除此之外还有恶心、呕吐、视力减退、头晕、复视、意识模糊等症状。在脑瘤发展初期,止痛药对于脑瘤头痛有一定的止痛作用,常使患者对头痛重视不足,以致延误病情。因此,对不明原因的头痛,服用止痛药3到5天不见缓解,就要到医院做详细检查,千万不能因为忽视而造成疾病的拖延。
潘女士,3年前开始经常会出现阵发性头痛,没有头晕症状,认为自己忍一忍就过去了,一直没有去医院检查。近10个月来,她觉得头痛比之前严重,偶尔还会出现头晕,这才在家人的督促下到当地医院就诊,头颅影像检查提示:“右侧顶部脑膜瘤”。
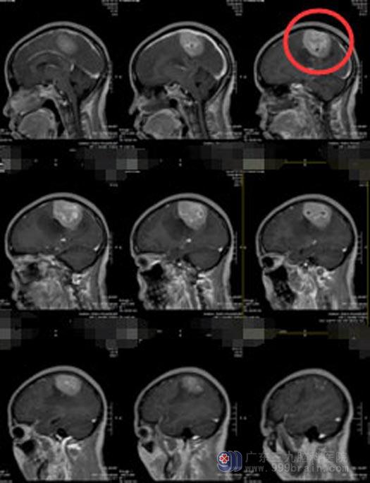
广东三九脑科医院进一步头颅MR检查显示:右侧额顶部镰旁占位性病变,大小约5.23cm×4.11cm×4.68cm,相应处上矢状窦位变窄,考虑肿瘤压迫所致,脑膜瘤可能。
由综合神经外科鲁明主任主刀,在全麻下行“右侧顶部镰窦旁巨大占位性病变切除手术”,术中见肿瘤侵犯上矢状窦,呈灰白色,质地中,血运丰富,显微镜下全切肿瘤,上矢状窦保护完好。术后潘女士恢复良好,已康复出院。病理提示:纤维型脑膜瘤,WHO I级。

手术前

手术后

