“养”瘤七年
发布时间: 2019年02月01日 出处:综合神经外科 编辑:XL 点击次数:38985
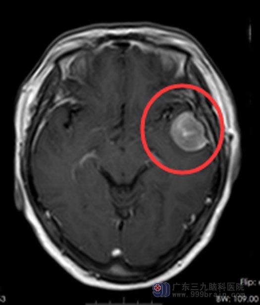
郭阿姨七年前开始出现频繁的头痛,每次休息可以缓解。家人出于担心劝她到当地医院行头颅ct检查,结果显示左颞部病变,医生建议进一步检查,郭阿姨考虑到孩子还在读书,自己治疗后万一有什么后遗症,会没有人照顾他们;总鼓不起勇气做进一步的检查和治疗,就这么一直拖着、一直焦虑。
半个月前,头痛症状加重,同时伴有头晕、恶心,家人觉得实在是不能再拖了,拉着她来到广东三九脑科医院综合神经外科。
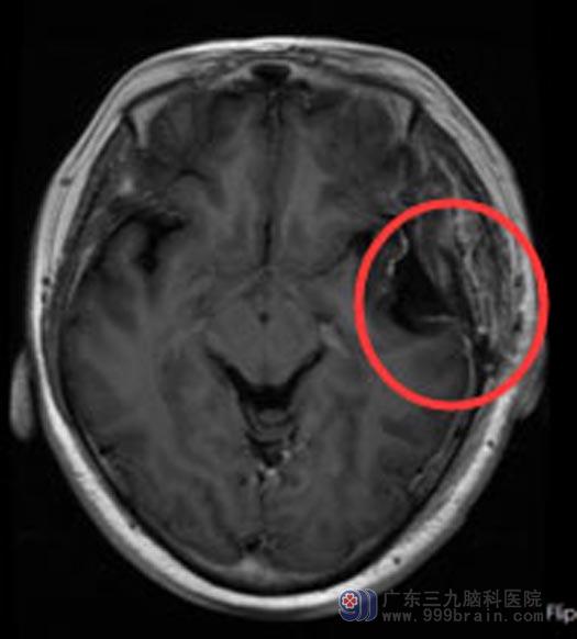
进一步检查发现肿瘤较之前有所增大,考虑脑膜瘤,家属同意手术治疗。鲁明主任主刀在全麻下行“左侧颞部脑膜瘤切除术+硬脑膜修补术+颅骨成形术”,显微镜下顺利将肿瘤全切除。术后病理:左颞过渡型脑膜瘤,WHO1级。

手术前

手术后
恢复后的郭阿姨非常后悔,她说:手术前既害怕又担心,担心自己会出什么事情,七年了,不仅要忍受头痛,还整天提心吊胆。

