机器人定位,如虎添翼
发布时间: 2020年07月13日 出处:神经外五科 作者:邹雪琼 编辑:XL 点击次数:5796
35岁的李大哥平时不爱说话,对人也是爱理不理的,时间长了,大家都觉得他就是个性格比较内向的人。两个月前,父母感觉儿子的行为变得有些古怪,怀疑他的精神是不是出问题了,便带着他去看了心理医生。
医生了解病情后,建议李大哥行头颅MR检查,检查结果让他父母吓了一跳:脑袋里长瘤了,并且生长的位置特别深,手术难度特别大,风险特别高。吓得六神无主的父母担心手术后会人财两空,领着儿子回家了。
回家后的几个月时间里,李大哥的父母非常纠结,儿子是独生子,做手术要承担风险,不做手术,以后的日子都会天天担惊受怕。
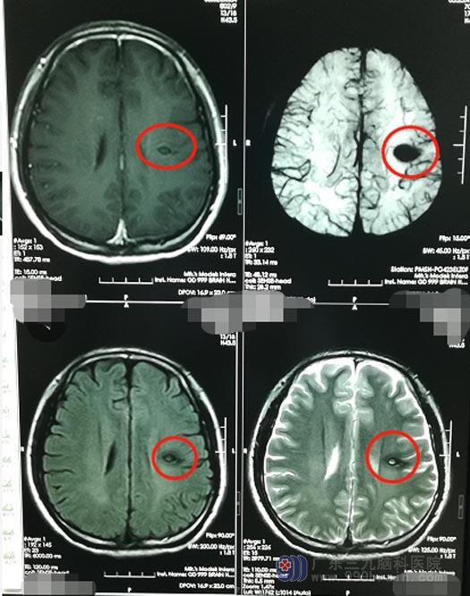
父母不愿意儿子的余生就这么度过,他们想着,现代科技都这么发达了,总会有好的办法解决儿子的问题。功夫不负有心人,通过多方收集信息,最后他们找着了广东三九脑科医院神经外五科。进一步头颅MR检查提示:左侧放射冠病灶,考虑为海绵状血管瘤。

医院副院长、神经外五科主任鲁明告诉他们,肿瘤的位置很深,毗邻周围重要结构,致使肿瘤全切除颇为困难,稍有不慎就会损伤颅内重要组织和神经,甚至可能会危及生命。神经外五科的治疗团队为李大哥制定了一套周密的手术方案,运用机器人辅助定位,定位更为精准能大大提高手术的成功率。
随着机器人、计算机图形图像以及医疗技术等领域的发展,医疗机器人与计算机辅助医疗外科技术是一种近年来取得迅速发展的微创伤脑外科手术方法,手术时将一个固定金属框架固定在病人的颅骨上,医生通过医学图像计算出病灶点在框架坐标系中的三维坐标位置,然后在病人颅骨上钻一个小孔,将探针头或其他复杂的外科手术器械通过探针导管插人病人脑中,达到医学图像上定位的靶点。由于定位更加精准,医生手术时会更加地得心应手。
准备完善后,鲁明带领团队在机器人辅助唤醒麻醉下为李大哥施行“左顶叶海绵状血管瘤切除术”。手术很成功,术中出血不多,对功能区的保护十分到位,肿瘤被全部切除。手术后,李大哥生命体征正常,没有出现言语、肢体偏瘫等后遗症,不久就康复出院了。



