容易误诊为胶质瘤的脑膜瘤
发布时间: 2015年07月27日 出处:综合神经外科 编辑:谢莉 点击次数:58527
微囊型脑膜瘤是一种罕见的脑膜瘤亚型,因其无典型脑膜瘤结构,组织形态特殊,易误诊为胶质瘤。
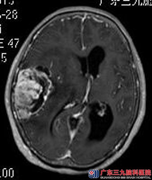
丘阿姨两天前突然出现左侧肢体乏力,伴有间断性发热,且逐渐加重,当地医院行腰椎CT检查未发现异常,行头颅CT检查提示:右侧额顶叶占位,考虑胶质瘤。
一听到医生说可能是恶性肿瘤,丘女士仿佛瞬间落入万丈深渊,似乎已经看到了生命的尽头。在丈夫的反复劝说下,他们来到了广东三九脑科医院神经综合神经外科。头颅MR进一步检查提示:右侧颞顶部占位性病变,大小约52.3mm×42.2mm×63.9mm,考虑脑膜瘤。在进一步检查考虑良性病变后,丘女士重拾战胜疾病的信心,要求手术治疗。
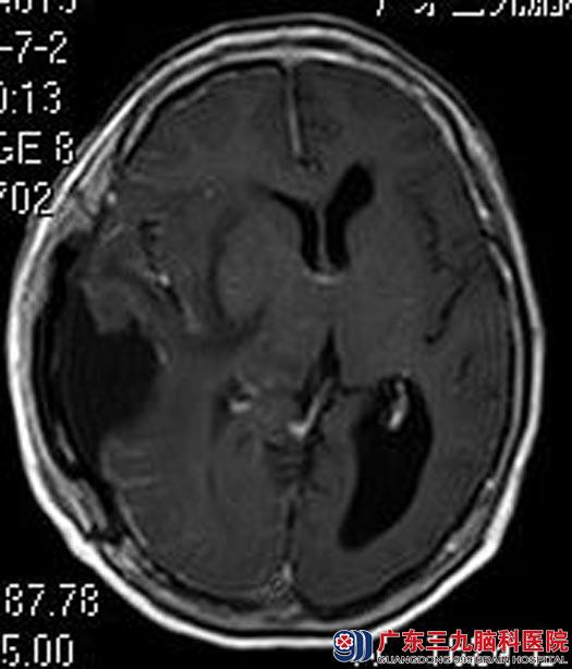
由鲁明主任主刀,在全麻下行右侧颞顶部占位病变切除术,术前导航计划,术中根据术前导航定位,在显微镜下予以肿瘤全切。术后病理结果:脑膜瘤,WHO I,考虑微囊型。
手术成功、康复出院时,丘女士觉得从万丈深渊里重生。

▲手术前

▲手术后
