全切额颞部巨大脑膜瘤
发布时间: 2015年08月26日 出处:综合神经外科 编辑:谢莉 点击次数:56376
李先生二个月前开始出现反应迟钝及记忆力减退,无头痛、头晕、发热、抽搐,也没有肢体乏力、麻木不适等症状。
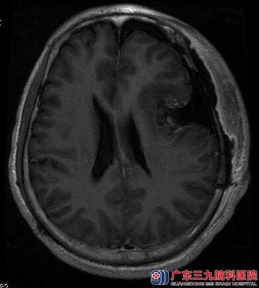
十天前李先生感觉反应明显迟钝,记忆力减退也较之前加重,当地医院查头颅MRI阅片示:左额颞占位性病变,低密度,病灶周围无明显水肿。
广东三九脑科医院进一步头颅MR检查提示:左侧额颞部占位性病变,大小约5.2cm×6.9cm×6.5cm,考虑脑膜瘤。

脑膜瘤对药物和放射治疗均不敏感,手术切除是最佳治疗方法。完善相关检查后,由综合神经外科鲁明主任主刀,在全麻下行左侧额部脑膜瘤切除术,术中显微镜下见肿瘤呈红色,质韧、血供丰富,边界清,予以全切,手术顺利。术后李先生自诉反应及记忆力明显较前好转。术后病理结果提示:混合型脑膜瘤(WHO I级)。

