双侧额部大脑镰巨大肿瘤
发布时间: 2015年08月28日 出处:综合神经外科 编辑:谢莉 点击次数:64881
一年前,陈女士出现头痛头晕症状,无恶心、呕吐、肢体乏力、麻木、抽搐,所以未予重视。
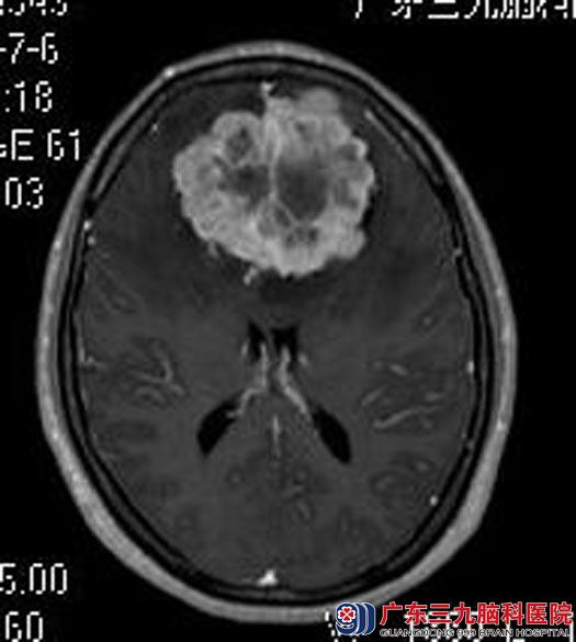
此后她的右眼视力逐渐下降,一个月前右眼视物不清,当地医院行头颅CT检查提示双侧额部大脑镰巨大占位。住院广东三九脑科医院综合神经外科。查体发现:陈女士右眼只剩光感,直接对光反射消失,间接对光反射迟钝,左眼视力4.2,直接对光反射迟钝,间接对光反射消失;行头颅MR检查提示:双侧额部镰旁占位性病变,约6.5cm×6.4cm×5.7cm,考虑脑膜瘤。

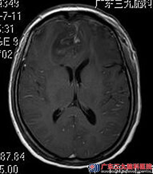
由鲁明主任主刀,在全麻下行双侧额部大脑镰旁巨大脑膜瘤切除术,术中见肿瘤质硬,包膜完整,血供一般,显微镜下行肿瘤全切,手术顺利,术后陈女士恢复很快,已康复出院。术后病理结果:纤维型脑膜瘤(WHO I级)。

