调不好的月经不调
发布时间: 2015年09月21日 出处:综合神经外科 编辑:谢莉 点击次数:48133
王女士三年前出现停经、泌乳,周期性头痛头晕,伴有恶心呕吐,症状较轻可自行缓解。认为停经是属于妇科问题,一直在用黄体酮药物治疗,体重也由原来的九十多斤增长到现在一百七十多斤。
两天前,出现双眼视物模糊,伴左上肢麻木,持续时间约20分钟,当地妇幼保健医院泌乳素结果:2074.97mIU/L(泌乳素在非妊娠期女性正常参考值:109.8~562.4 mIU/L),行头颅CT检查提示鞍区病变。
王女士这才明白自己的停经、泌乳是由于得了脑肿瘤。
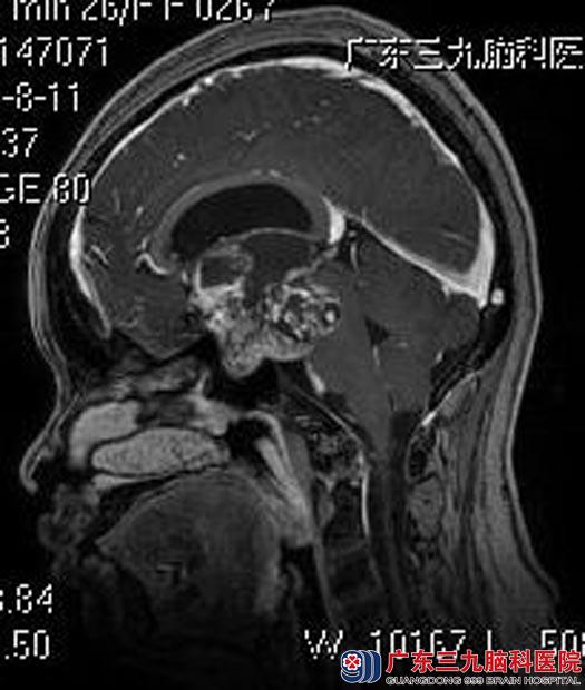
广东三九脑科医院MR检查提示:鞍区示一不规则形囊实性占位性病变,4.7cm×3.9cm×3.7cm;病变向上突入第三脑室,向后推压脑干受压变形。垂体明显受压变薄,视交叉及垂体柄受压显示不清。考虑颅咽管瘤可能性大,伴幕上梗阻性脑积水(轻度)。

由综合神经外科鲁明主任主刀,在全麻下行经额视交叉前终板联合入路鞍区巨大颅咽管瘤切除术,术中见肿瘤呈灰白色,质软,部分钙化,镜下行肿瘤切除,术中对嗅神经、视神经保护完好,手术顺利结束。术后王女士泌乳症状明显好转,无明显尿崩、离子等术后并发症。术后病理结果提示:颅咽管瘤。

