易误诊 险送命
发布时间: 2015年10月10日 出处:综合神经外科 编辑:谢莉 点击次数:47077
颅咽管瘤是小儿常见的颅内肿瘤之一,临床表现复杂多样,许多症状和体征易被曲解,容易造成误诊。颅压增高时患儿有反复进食后呕吐,易误诊为胃肠炎等胃肠道类疾患。
小丰半月前出现呕吐,当地医院考虑为“肠胃炎”,给予对症治疗,但效果欠佳。逐渐出现左侧肢体偏瘫,意识进行性障碍加重,头颅CT检查提示颅内占位性病变、脑积水。考虑到孩子的病情危重,预后不理想,医生建议转院治疗,家属经过考虑,一致选择了广东三九脑科医院。
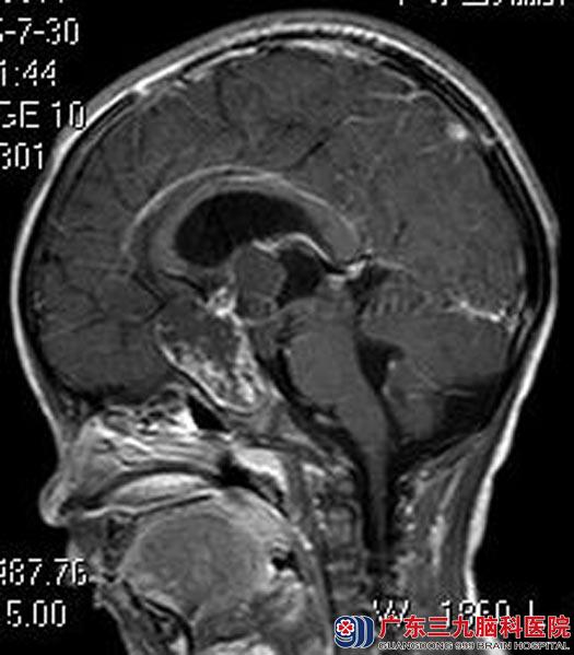
住院在综合神经外科,头颅MR检查提示:鞍区(鞍上为主)示一团块状异常信号影,大小约42.6mm×33.2mm×52.7mm,考虑颅咽管瘤可能性大;左侧大脑半球、左侧基底节区、右侧丘脑及胼胝体多发病变,考虑脑梗塞可能。

患儿意识差,详细了解病情后,家属要求手术治疗。
由鲁明主任主刀,在全麻下行经前纵裂终板入路鞍区肿瘤切除术,术中显微镜下见肿瘤位于鞍区及鞍上,部分突入三脑室,肿瘤呈灰白色(其间夹带部分淡黄色成分),质软,血供较丰富,予分块切除,肿瘤起源于垂体柄,肿瘤次全切,下丘脑、垂体柄及重要血管保留完整,手术顺利。术后小丰的意识逐渐好转,两周后,可以在家属的扶行下行走。术后病理结果:颅咽管瘤。

