丘脑、脑室内巨大脑膜瘤
发布时间: 2015年10月14日 出处:综合神经外科 编辑:谢莉 点击次数:57212
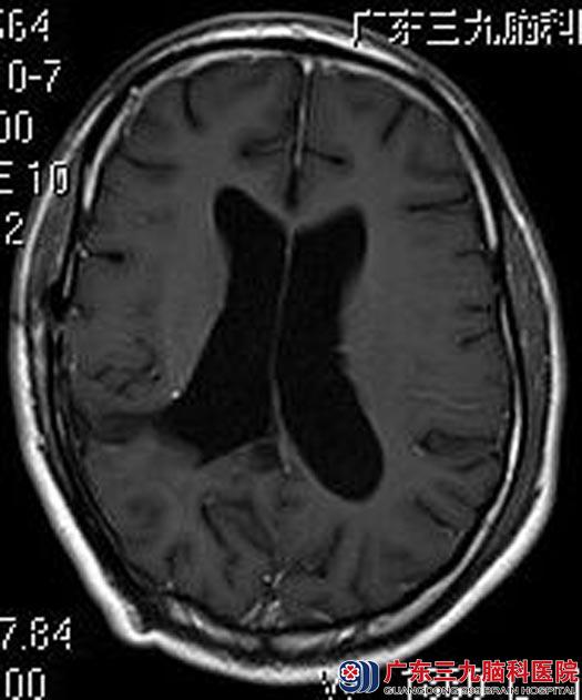
去年,邱先生出现四肢乏力、呃逆、步态不稳等,检查发现右侧丘脑、脑室内巨大占位并梗阻性脑积水,次日即就诊于广东三九脑科医院,头颅磁共振检查提示:右侧侧脑室三角区占位性病变,大小约60.8mm×63.2mm×57.6mm,考虑脑膜瘤可能性大。由综合神经外科鲁明主任主刀将肿瘤全切。
术后十天邱先生即康复出院。
一年后,邱先生虽然没有不适症状,但觉得复查一下心里踏实点。回医院行头颅MR检查提示:未见明确肿瘤复发征象。

▲手术前

▲手术后
鲁明主任提醒:脑肿瘤并不是不治之症,许多患者发现问题后,把解决问题的困难放得过大,导致对预后过度悲哀,延误治疗甚至放弃治疗。脑肿瘤患者选择正确的治疗方法,可以取得良好的治疗效果。
