复发的脑膜瘤
发布时间: 2015年11月10日 出处:综合神经外科 编辑:谢莉 点击次数:46352
脑膜瘤是颅内常见肿瘤,大多数属良性,呈膨胀性生长,部分具有一定的侵袭性,治疗上均首选手术切除,对于不能全切的脑膜瘤和少数恶性脑膜瘤,手术切除后需进行放疗,以减少或避免复发。
杨先生一年前因头痛在当地医院检查,发现脑肿瘤,在某三级医院行肿瘤切除术,术后病理检查提示脑膜瘤II级,未行放射治疗,也未按时复查。
术后一年,杨先生出现双下肢乏力;一月多月前行头颅MR检查提示肿瘤复发。没有及时复查及行进一步的放射治疗,导致肿瘤复发,家人都很自责。
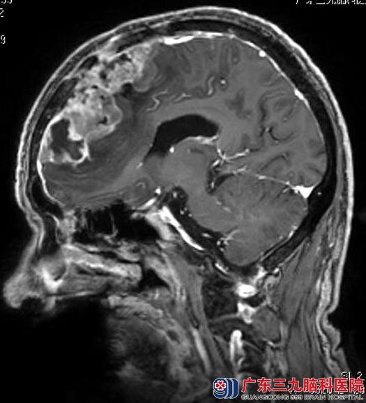
广东三九脑科医院头颅MR检查提示:拟额部脑膜瘤术后复发,大小约6.24cm×4.54cm×8.54cm,邻近脑膜示线样明显强化,跨越中线向对侧生长,相应部位额骨受累及。

患者精神食欲差,既往一年前曾行心脏冠状动脉支架植入术,同时有高血压、糖尿病病史。综合神经外科鲁明主任立即组织院内院外多学科专家对其进行会诊,与家属详细交代治疗及风险,家属要求手术治疗。
完善各项术前准备后,由鲁明主任主刀,在全麻下行双侧额部巨大复发脑膜瘤切除术,术前导航定位肿瘤体表范围,术中显微镜下见肿瘤呈红色,质韧、血供丰富,边界清,镜下行肿瘤切除,手术顺利。术后杨先生的语言、肢体活动正常,已康复出院。病理结果:非典型脑膜瘤(WHO II级)。

