看得见的手 看不见的瘤
发布时间: 2015年11月18日 出处:综合神经外科 编辑:谢莉 点击次数:44455
有些人会出现莫名手抖的情况,但却不知道为什么会这样。生活中多种原因可以引起,不要一味的以为就是帕金森。只有经过检查才能发现真正的原因。
林先生一周前莫名其妙地出现手拿筷子不稳,夹菜总是掉菜。
症状逐渐加重,并伴有反应迟钝,家人觉得奇怪,好端端的这是怎么了?在当地医院就诊,头颅CT检查提示:左侧颞叶占位性病变。
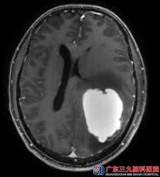
为进一步了解病情,林先生来到广东三九脑科医院,MR检查提示:左侧颞顶叶示类圆形病灶,大小约5.3cm×4.0cm×5.5cm,可疑肿瘤卒中。

综合神经外科鲁明主任主刀,在全麻唤醒麻醉下行左侧颞顶叶肿瘤切除术。术中唤醒,彩超再次定位肿瘤位置,显微镜下见肿瘤呈囊性结构,质软,灰黄色胶样,血供一般,镜下全切病灶。术中患者语言、肢体活动功能正常,手术顺利结束。无术后并发症出现,康复出院。

