头晕眼花 不全是颈椎病
发布时间: 2015年11月25日 出处:综合神经外科 编辑:谢莉 点击次数:47432
王女士为了全力照顾好家中的两个孩子,辞去工作做起了全职太太。两年前经常会出现头晕,阵发性发作,以为是家务活重,没有休息好引起。
两个月前头晕症状加重,当地医院诊断为“颈椎病”,但治疗效果欠佳。逐渐出现双眼视物模糊,四肢乏力,头痛头晕症状不断加重,转上级医院,行头颅CT检查提示颅内占位性病变。
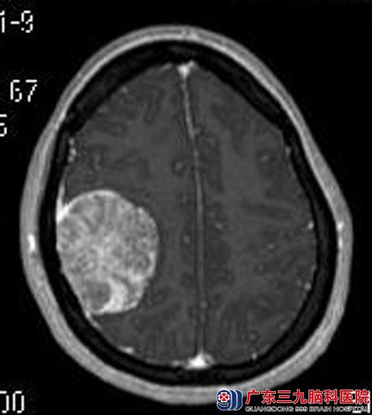
两年多的头晕,一直以为是颈椎病,竟然发现是脑肿瘤,家人立即带着她来到广东三九脑科医院。头颅MR检查提示右侧额顶部大脑凸面占位性病变,大小约46mm×55mm×49mm,考虑脑膜瘤可能性大。

确诊后,王女士要求手术切除治疗。由综合神经外科鲁明主任主刀在全麻下行右额顶脑膜瘤切除术,术中导航定位肿瘤体表面积,显微镜下见肿瘤呈灰白色,质韧、血供一般,边界清,镜下顺利全切肿瘤。术后王女士未出现语言、肢体等功能障碍。术后病理结果:纤维型脑膜瘤(WHO I级)。

