鞍结节脑膜瘤——视神经上悬着的炸弹
发布时间: 2015年12月25日 出处:综合神经外科 编辑:谢莉 点击次数:45014
视力、视野障碍为鞍结节脑膜瘤最常见症状。几乎所有病人都有视力、视野的改变,80%以上的病人为首发症状;视力障碍多为缓慢、进行性减退,可持续数月或数年。由于视神经、视交叉受压,眼底常出现视盘原发性萎缩,晚期由于颅内压增高,也可同时发生继发性眼底水肿。
鞍区属于颅内重要结构,空间非常狭小。周围有下丘脑、颈内动脉、视神经、视交叉,垂体柄等重要组织结构,一旦损伤会出现大出血,高热,电解质紊乱,尿崩症,甚至昏迷等严重并发症,严重者可危及生命。该区域手术难度大,技术要求高,要求不但要切除肿瘤,还要保护好周围重要结构不受损伤。
近日,广东三九脑科医院神经综合神经外科再一次成功切除复杂的巨大鞍结节脑膜瘤。
徐先生,半月前出现右眼视物模糊,呈进行性加重,偶尔会有头痛。当地医院头颅CT检查提示:占位性病变,考虑鞍结节脑膜瘤可能。
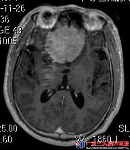
入住广东三九脑科医院综合神经外科,头颅MR检查提示:前颅窝底示一团块状占位性病变,大小约5.5cm×5.2cm×3.4cm,考虑脑膜瘤;头颅CTA检查提示:双侧大脑前动脉A1、A2段受压向后上方移位,双侧大脑前动脉额极支被病灶包绕。
由鲁明主任主刀,在全麻下行经颅底鞍结节脑膜瘤切除术,显微镜下见肿瘤与右视神经及右颈内动脉粘连较紧,视交叉及右视神经受肿瘤压迫,垂体柄受压右移,显微镜下分离肿瘤与神经、肿瘤与血管、肿瘤与垂体柄,解剖保留双侧视神经、神交叉,双侧颈内动脉、双侧大脑前动脉,手术过程顺利。
术后,徐先生视物较术前明显好转。术后病理结果提示:脑膜皮细胞型脑膜瘤,WHO I级。

▲术前

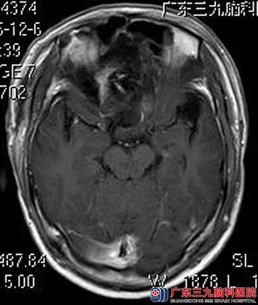
▲术后
