双侧生长的巨大镰旁脑膜瘤
发布时间: 2016年02月19日 出处:综合神经外科 编辑:谢莉 点击次数:42196
至目前,手术切除依然是脑膜瘤治疗的首选方法,虽然切除脑膜瘤并不困难.但巨大脑膜瘤供血丰富且常与周围重要结构粘连,在保证良好生存质量的前提下全切肿瘤,仍非易事。
春节期间,综合神经外科利用导航定位,完美全切松果体上方正中大脑镰两旁占位性病变,术后患者无任何手术并发症,再次显示了广东三九脑科医院神经外科先进的技术和水平。
周先生两月前出现间断性头痛伴头晕,没有引起重视。近一月头痛加重伴有恶心呕吐,当地医院头颅检查发现颅内占位,性质待查。周先生没等过春节,除夕那天就急急忙忙地赶到广东三九脑科医院综合神经外科。
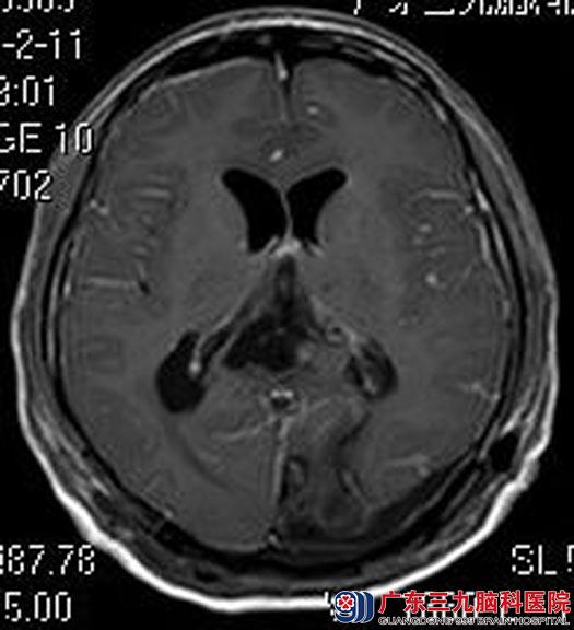
头颅MR检查提示:松果体上方正中大脑镰两旁占位性病变,大小约为7.9cm×6.5cm×6.2cm;邻近脑组织受压移位,考虑脑膜瘤可能性大。头颅CTA提示:松果体上方正中巨大软组织肿块,强化明显,其内较多迂曲血管分布,周缘较多血管缠绕,邻近双侧大脑前动脉、大脑大静脉及分支受压明显移位,邻近直窦前部及下矢状窦部分包绕。

▲头颅MR

▲头颅CTA
术前将肿瘤供血血管部分栓塞,然后由鲁明主任主刀,在全麻下行松果体区巨大脑膜瘤切除术,导航定位肿瘤范围,术中再次导航定位,术中见肿瘤呈红色,质中,血供丰富,边界清楚,有完整包膜,予镜下顺利将肿瘤全切。术后周先生神志清醒,头痛症状明显好转,四肢活动正常,无手术并发症。病理回报:过渡型脑膜瘤 WHO I级。

▲术后头颅MR
