视野缺损 枕叶肿瘤
发布时间: 2016年06月07日 出处:综合神经外科 编辑:谢莉 点击次数:42802
50岁的谢先生一周前突然出现头痛头晕,继而恶心呕吐、四肢抽搐,一开始以为是自己吃错东西,卧床休息后症状缓解。两天前,头痛头晕症状较之前加重,睡眠质量也持续下降,伴有恶心呕吐,感觉视物范围变小,行走乏力。在当地医院行头颅CT检查示“左侧顶枕部占位性病变”。
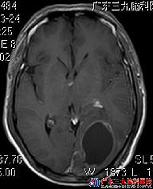
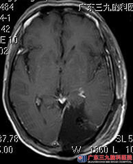
在广东三九脑科医院综合神经外科体格检查:精神食欲差,双侧瞳孔等圆等大,直径约2.5mm,对光反射灵敏,左眼视力4.7(0.5)、右眼视力4.5(0.3),双眼右侧偏盲。头颅MR检查显示:左侧顶枕部占位性病变,大小约3.8cm×6.4cm×5.9cm,考虑胶质瘤。

由鲁明主任主刀在全麻下行“左侧顶枕叶肿瘤切除术”,术中见肿瘤实质部分邻近中线,质软,呈灰白色胶样,血供较丰富,于显微镜下顺利全切除。术后谢先生的头痛头晕、恶心呕吐不适症状消失,视野较前好转,康复出院。术后病理结果提示:间变型星形细胞瘤WHO III级。

