一次性全切桥小脑角区多发神经鞘膜瘤
发布时间: 2016年07月30日 出处:综合神经外科 编辑:谢莉 点击次数:39154
李先生4年前出现右耳听力下降,伴有耳鸣,并进行性加重,一直没有给予重视。近一月出现左侧肢体乏力,休息后不能自行缓解,当地医院头颅CT检查提示:左侧桥小脑角区囊实性病变,考虑听神经鞘瘤可能性大。
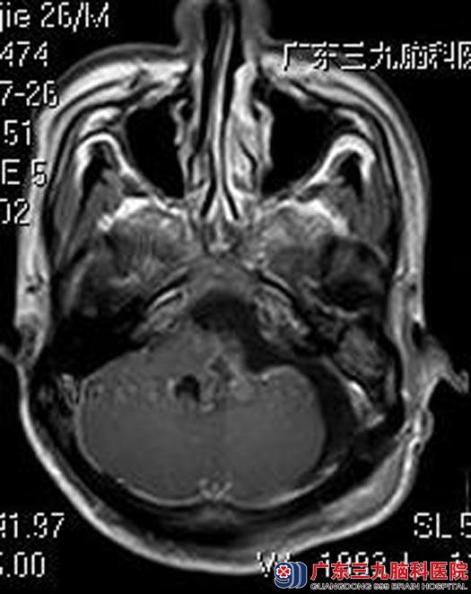
广东三九脑科医院进一步头颅MR检查提示:左侧桥小脑角区巨大囊实性占位性病变,大小约为6.2cm×5.9cm×5.8cm;邻近基底动脉受压且部分被包绕,邻近脑组织明显受压变形,四脑室受压变窄,考虑听神经瘤;头颅CTA检查提示:左侧桥脑脑角区囊实性占位性病变,实性部分血供丰富,左侧小脑后下动脉及左侧椎动脉、基底动脉受压移位。

鲁明主任主刀,在全麻下经左侧乙状窦后入路行左侧桥小脑角区多发肿瘤切除术,脑压板轻抬小脑,见多发肿瘤,其中一个大小约1.0cm×0.8cm×1.0cm,起源于副神经,黄白色,血供一般,与后组颅神经粘连紧密,质软,显微镜下予以钝性分离;另一肿瘤起源于内听道,左侧面听神经粘连紧密,予显微镜下分块切除,术中全程电生理监测,术毕面听神经电刺激反应良好。术后无后组颅神经损害症状,耳鸣症状明显好转。术后病理结果提示:神经鞘膜瘤。

