压迫双侧视神经的颅底脑膜瘤
发布时间: 2016年08月22日 出处:综合神经外科 编辑:谢莉 点击次数:42066
申先生一年前出现双眼视物模糊,以为是自己年龄大了,眼睛也“老了”,视力下降是难免的,未予重视。近一个月来视物模糊症状明显加重,同时伴有间断头痛头晕。眼科医生检查没有发现明显异常,建议他去看脑科。
“我是眼睛不好又不是脑子不好,怎么让我去看脑科呢!”申先生非常生气地回家了。
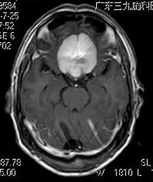
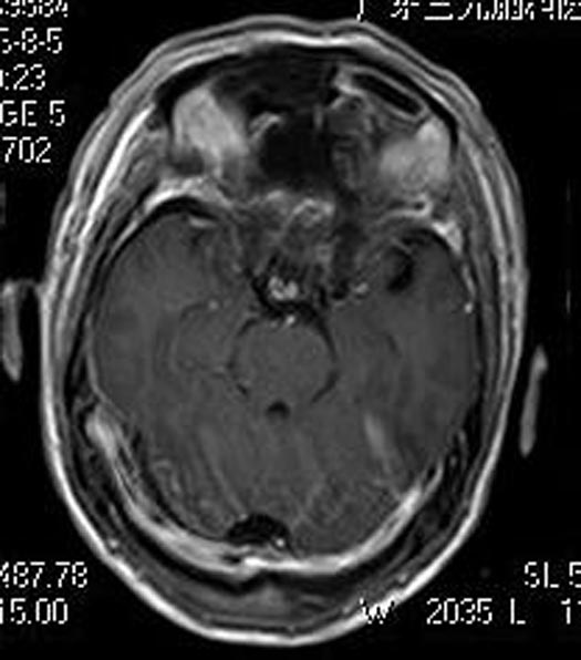
儿女们认为父亲视力下降肯定是有原因,在孩子们的劝说下,申先生来到广东三九脑科医院综合神经外科。头颅MR检查提示:前颅底占位病灶,考虑颅底脑膜瘤(大小约49.9mm×47.0mm×25.0mm),瘤灶后缘挤压视交叉。头颅CTA检查提示:前颅窝底占位性病变血管丰富,与双侧大脑前动脉A1、2段关系密切,考虑脑膜瘤。

鲁明主任告诉申先生:肿瘤继续压迫将会对视神经产生不可逆的损害。家属积极地要求手术治疗。由鲁明主任主刀,在全麻下行经右额前颅底巨大脑膜瘤切除术,术中见白色肿瘤,质韧,边界清,肿瘤与右视神经大脑前有粘连,视交叉及右视神经受肿瘤压迫,锐性分离肿瘤与神经、肿瘤与血管、以相同手术跨大脑镰分离左颅底肿瘤、肿瘤与左侧视神经,镜下全切肿瘤,解剖保留双侧视神经、神交叉,双侧大脑前动脉,手术顺利。术后申先生视力明显好转,病理结果提示:过渡型脑膜瘤 WHO I级。

