抽搐,不能只怨缺钙
发布时间: 2016年09月14日 出处:综合神经外科 编辑:XL 点击次数:40447
抽搐是很平常的事情,大人小孩都会出现,多数人会想到缺钙了。但是抽搐的原因不止缺钙一种,有一种貌似不常见的疾病也会引起抽搐,那就是脑瘤。
人的脑部主要有脑组织,一旦长出肿瘤就会对周围神经组织产生压迫,不断增高的颅内压力可产生症状,表现抽搐、走路不稳、头痛、呕吐等,甚至癫痫发作。
【典型案例】
元先生二个月前突然出现右侧颜面部及右上肢抽搐,抽搐时意识清楚,四肢不受控制,抽搐时长二至三分钟,同时有四肢无力感约半小时。家人都认为抽搐没什么大不了,人人都可能会遇到,所以都没有重视。一个月前元先生再次发作,右侧颜面部、右上肢抽搐,随即在当地医院行头颅CT检查,提示有左额颞部占位。
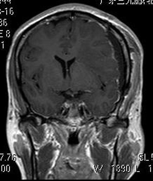
万万没有想抽搐竟是脑袋里长了肿瘤!一家人赶紧来到广东三九脑科医院。头颅MR检查显示:左侧额颞部颅骨内板下示不规则宽基底占位病灶,病灶范围约26.1mm×38.9mm×30.2mm。
综合神经外科鲁明主任主刀,在全麻下行左侧额颞部脑膜瘤切除术,显微镜下见肿瘤呈灰白色,鱼肉状,质中,边界较清,血供丰富,镜下将肿瘤顺利全切。术后病理结果提示:过渡型脑膜瘤,WHO I级。

▲术前MR

▲术后MR
