怎样的头痛有可能是脑瘤?
发布时间: 2016年09月28日 出处:综合神经外科 编辑:XL 点击次数:42695
头痛是大多数人都有的感觉,一般头痛病,呈明显发作性,在某种诱因作用下反复刻板地出现,停止发作后如常人。怎样的头痛才有可能是脑瘤引起的呢?
头痛是脑瘤的前期症状之一,脑瘤引起的头痛是固定部位的疼痛,持续时间长,呈进行性加重,可伴有部分全身症状。从症状上看,脑瘤病人一般都有头痛的表现,且头痛是一种隐隐的钝痛,随疾病的发展逐渐加重,疼痛的时间也会越来越长。随着肿瘤增大,肿瘤直接牵引、伸展和挤压脑血管,也会压迫脑组织,使脑的血流和脑脊液循环出现障碍,颅内压力增高,刺激对痛觉敏感的神经、脑膜,头痛会日渐加重并呈持续性。
因此,对不明原因的头痛,最好到医院详细检查,一般通过脑部CT、磁共振等检查就能确诊。
【典型案例】
王先生二个月前出现阵发性、反复性的头痛,没有引起重视。
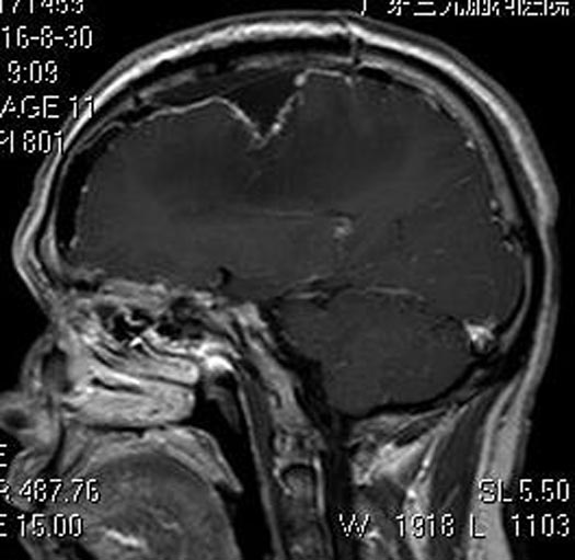
之后,头痛进行性加重,伴有左侧肢体乏力,当地医院头颅CT检查结果:右侧额部占位,考虑脑膜瘤。广东三九脑科医院头颅MR检查提示:左侧额部占位病变,大小约55.2mm×40.8mm×43.4mm,MRV示:病变区多发流空血管影,考虑脑膜瘤(血供丰富)。
由综合神经外科鲁明主任主刀,在全麻下行右额部镰窦旁脑膜瘤切除术,显微镜下见肿瘤质软、血供丰富、边界尚清,予以肿瘤全切。术后王先生头痛及左侧肢体乏力明显好转。病理结果提示:脑膜皮细胞型脑膜瘤(WHO Ⅰ级)。

▲手术前

▲手术后
