中年男性突发“妊娠”反应,查因原系脑肿瘤作祟
发布时间: 2010年11月22日 作者:外五科供稿 点击次数:17585
摘要:人的身体就像一台神奇的机器,当这台机器的某一部分出现问题的时候,身体就会出现一些小状况来提醒我们的注意。然而,每天忙碌的生活是否让你对这些健康警报视而不见了呢?
人的身体就像一台神奇的机器,当这台机器的某一部分出现问题的时候,身体就会出现一些小状况来提醒我们的注意。然而,每天忙碌的生活是否让你对这些健康警报视而不见了呢?www.999brain.com
叶先生最近很苦恼,因为同事都在拿他开玩笑,说他是“怀孕了,有严重的妊娠反应……”原来,近期也叶先生频频出现呕吐、食欲差等症状。www.999brain.com
叶先生,是一位年轻业务能力强的企业家,年纪轻轻的就有了属于自已的食品加工厂,他不但业务能力强,人缘也很好,和单位里的员工关系都很和谐,这不,大家见他最近两天频繁出现呕吐表现,没什么食欲,胃口差,大家都开玩笑地说他是怀孕了。www.999brain.com
“连续的呕吐,食欲差,精神疲惫且伴有头晕头痛”,细心的妻子刚好从网上留意到一则题为《早期发现脑肿瘤的信号》的新闻。对照丈夫的症状,妻子越发怀疑:难道丈夫得了脑肿瘤?于是陪丈夫到当地医院行CT检查发现颅内占位为枕部囊肿,为了让丈夫接受更好更专业的治疗,妻子打听到广东三九脑科医院,并联系上广东三九脑科医院神经外五科鲁明 主任。

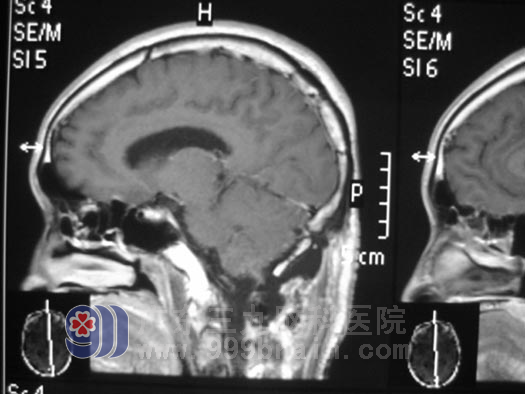
手术前
入院诊断为:左侧小脑占位、梗阻性脑积水、小脑扁桃体下疝畸形,并于 10月27日,由鲁明 主任主刀,为叶先生实施了左侧小脑占位切除+小脑扁桃体部分切除+寰椎减压+颅内压探头置入术。手术全程约6小时,术程顺利,手术成功。
据神经外五科 鲁明 主任介绍,此次手术为叶先生一下子解决了左侧小脑占位、梗阻性脑积水、小脑扁桃体下疝畸形三个问题。为了避免术后小脑创面水肿,小脑体积增大,出现小脑扁桃体下疝,避免术后再次出现小脑扁桃体下疝压迫延髓而威胁生命,鲁明 主任为叶先生实施了寰椎减压术;并于手术中行颅内压探头置入术,以便捷地了解手术后颅内压力的变化,术后复查MR显示占位全切,术后病理回报为:左侧小脑半球血管母细胞瘤。www.999brain.com

手术后
一个多星期过去了,叶先生恢复的很好,未再出现过头晕头痛、呕吐症状。叶先生的妻子一颗忐忑不安的心终于踏实下来。叶先生出院那天,其妻子带了好多礼物要送给鲁明 主任,都被鲁明 主任婉言谢绝了,他淡淡地说:“作为一名医生,为患者解除痛苦是我的天职,能把病人治好就是对我最大的欣尉了。”www.999brain.com
鲁明 主任以过人的技术在群众中口碑流传,曾有患者这样说他:“鲁明 主任是很有魅力的医生,他总是微笑地面对病人,让病人感到非常踏实、心生暖意。”为了回馈患者对自已的信任,鲁明主任不断学习,踏实勤奋,勇于挑战,精益求精,一次又一次地在“生命禁区”里秀出生的希望。www.999brain.com
广东三九脑科医院专家点评:
鲁明 主任指出,血管网状细胞瘤(血管母细胞瘤)为颅内真性血管性肿瘤 约占颅内肿瘤的1.3%-2.4% 大多发于小脑半球 偶见于脑干 发生于大脑半球者少见 病人以20~40岁成人为多 男多于女 脑血管母细胞瘤大多为囊性,约占该肿瘤的70—80%,为良性肿瘤,对放疗及化疗不敏感,所以外科手术是治疗该病的主要方法。手术应以彻底切除为原则,单纯引流囊液只能缓解症状,术后容易复发,利用显微手术可以提高其全切率。术中用双极电凝将瘤结节周围脑组织中的血管烧闭剪断,将其完整切除。小脑扁桃体下疝的同时,延髓也有不同程度的下移,严重者延髓可完全移位到枕骨大孔外这样造成了延髓背侧屈曲,脑神经、颈神经受牵拉脊髓受压变扁,疝出的脑组织与脊髓及周围结构粘连,枕骨大孔闭塞,中脑水管或第四脑室中孔粘连闭塞,形成梗阻性脑积水,又可加重小脑扁桃体下疝,正中孔闭塞时可伴有脊髓空洞或其他枕骨大孔畸形。 www.999brain.com
叶先生的呕吐、头痛等症状是源于其日益长大的脑肿瘤压迫脑部,引起颅内压增高而导致的。鲁明主任称,手术是解决该病的主要方法。www.999brain.com
【我要咨询】13602473181
【了解更多】 神经外五科
