屋漏偏逢连夜雨
发布时间: 2012年03月14日 出处:综合神经外科 编辑:谢莉 点击次数:99230
系统性红斑狼疮是侵犯皮肤和多脏器的一种全身性自身免疫病,患者可表现为多个系统和器官受累的临床症状。李女士,今年56岁,已深受此病之苦20年,同时还患有高血压病10年。http://www.999brain.com/
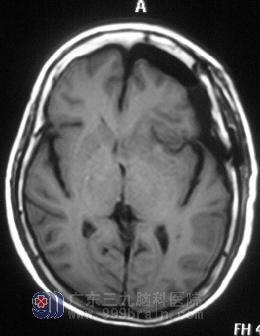
偏偏在半个月前,李女士又出现了间歇性头晕;一周前,头晕症状加重,伴有头痛。当地医院行头颅MR检查提示左侧蝶骨嵴占位性病变,考虑脑膜瘤。真是祸不单行。

在广东三九脑科医院住院后,经过全面检查及评估,李女士各项功能均可接受手术治疗。2月1日,由综合神经外科 鲁明主任主刀,在全麻下行左侧蝶骨嵴脑膜瘤切除术+颅内压探头植入术,术中见颅骨及硬膜血供丰富,肿瘤呈粉红色,质硬,包膜完整,广基与蝶骨嵴中外1/3硬膜相连,在显微镜下分块全切肿瘤,手术过程顺利。手术后没有出现并发症,已康复办理出院。术后病理结果为:合体型脑膜瘤。

【我要咨询】 13602473181 15915766180
【了解更多】 综合神经外科
