6岁,14公斤,5CM脑瘤
发布时间: 2022年04月08日 出处:神经外五科 作者:韩奇 编辑:XL 点击次数:1723
6岁的嘉嘉5年前因为头部外伤在当地医院行“左侧额颞部血肿切除术+去骨瓣减压术”术后恢复良好,因为当时年龄比较小,颅骨没有回修补。可就在近一年,嘉嘉开始时不时说头痛,无头晕,骨窗压力随后逐渐增加。父母担心孩子再次出什么意外,带着嘉嘉找到广东三九脑科医院鲁明副院长。
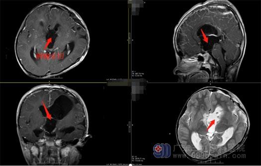
“初次见到嘉嘉,她很乖,不哭不闹,问她的问题都能自己回答,但看起来较同龄孩子瘦小很多,精神倦怠,让我非常心疼她,当时就想一定要尽最大的努力帮助她”,鲁明了解孩子的情况后,考虑不仅仅是单纯的脑组织膨出,马上安排磁共振检查,结果显示:1.鞍上、三脑室巨大占位;颅咽管瘤?;2.梗阻性脑积水3.左侧额颞部颅骨缺损。

“肿瘤很大,合并有脑积水,嘉嘉的激素水平也很低,手术比较棘手”。为了能最大程度地切除肿瘤,同时又保证患儿的生命安全,鲁明及神经外五科王国良主任都高度重视,带领外五科团队进行病例讨论,一致决定改善基础条件后积极手术治疗。家属也非常积极地配合治疗, 3月17日在全麻下行“鞍上、三脑室巨大占位切除术”,术中显微镜下见肿瘤质地坚硬,血供丰富,分块切除肿瘤,术中视神经、颈内动脉、垂体柄保护完好,手术顺利结束。

术后嘉嘉神志清醒,四肢活动都很好,次日就和妈妈吵着要吃糖......



