“小鬼当家”险丧命
发布时间: 2014年07月29日 出处:综合神经外科 编辑:谢莉 点击次数:25356
两天前,父亲去工地干活,阳阳一个人在出租屋内午睡。
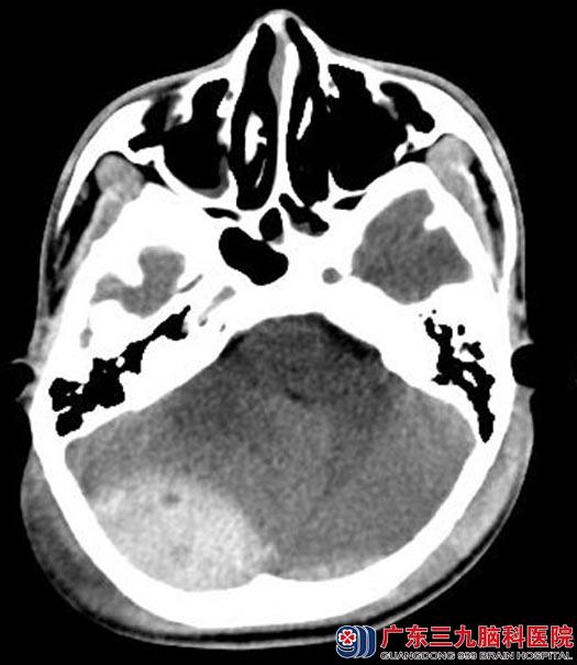
醒来后,阳阳想着起来帮忙干点家务活,由于还是睡眼惺忪的状态,阳阳没有留意脚下,一脚踩空,从三楼失足坠落。当即诉头痛,家属急送当地医院就诊,行头颅CT检查:双侧枕部少量硬膜外血肿,立即转入广东三九脑科医院综合神经外科。
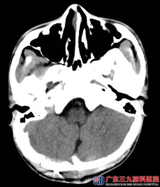
呕吐数次,复查头颅CT提示双侧枕部硬膜外血肿增加,急诊在全麻下行双侧枕部硬膜外血肿清除术,术中见硬膜外暗红色血性液体并暗黑色血凝块,予以清除,量约40ml,硬膜多处渗血;彻底止血顺利,术后阳阳恢复得很快,两周后即康复出院。

手术前

手术后
鲁明主任提醒各位家长:青少年儿童的安全问题不容忽视,尤其在寒假、暑假、节假日等时间尤其是隐患好发时间,河流、湖泊、高空等是悲剧发生的易发环境,悲剧一幕幕上演,令人触目惊心。当意外发生,时间就是抢救的关键,正确、恰当的救治,大多数的患者亦可康复。阳阳就是因为救治及时,才得以满意康复。
