还好没放弃
发布时间: 2019年12月12日 出处:神经外五科 作者:曹静 编辑:XL 点击次数:13013
陈大哥是一名工地建筑工人。一次高空作业中不慎从6米高的地方坠落,头着地,当时便不省人事。立即被送到当地医院急诊科,头颅ct提示:“左侧额叶脑挫伤,左额颞顶部硬膜下血肿,右颞顶枕骨骨折”,急诊全麻下行“右侧脑室颅内压监测探头植入+左额颞顶部开颅,硬膜下、脑室内血肿清除术+硬膜外修补术+去骨瓣减压术+右侧枕及颌下部伤口清创缝合术”。
手术后的丈夫躺着病床上不省人事,身上到处是伤口,妻子非常难过,老公是家里的顶梁柱,她是个没有主见的人,事无巨细都喜欢听老公的意见,“晚餐吃什么,出门穿什么衣服,孩子该不该打”等这些小事情都是老公帮她拿主意。术后第三天,丈夫的反应越来越差,也请上级医院的专家来看过,医生们都是叹息和无奈。亲戚朋友们看着病情越来越差的陈大哥,都慌了手脚不知所措;不治疗,患者肯定是等死,如果再继续治疗,这些天的治疗费用已经让这个不富裕的家庭负了很多债,担心最后落得人财两空。
就在一家人犹豫不决的时候,谁也没有料到一向柔弱无比的妻子突然怒吼起来:就算有一丝希望,我都不会放弃!任何人的劝告她都不听,毅然决然地坚持要把丈夫转去更好的医院。
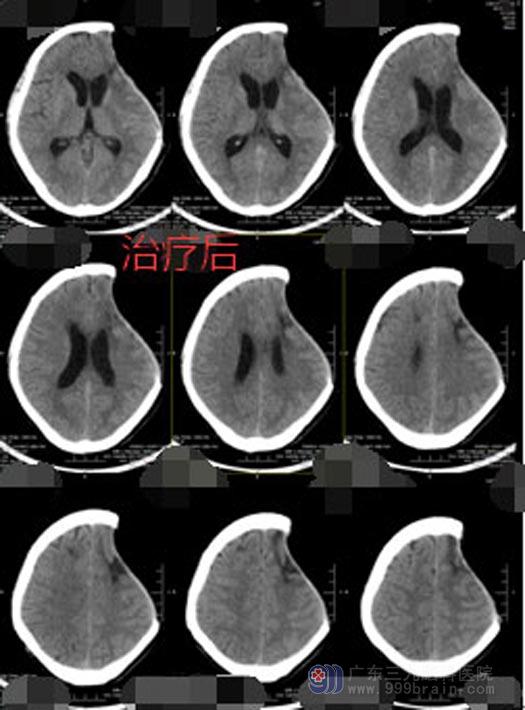
广东三九脑科医院副院长、神经外五科主任鲁明详细了解患者病情、仔细查体后认为病人是有好转希望的。头颅CT检查显示脑水肿,入院当日立即行“左额颞血肿清除术+内减压术”,术后病人身体较弱,送ICU 监护,患者痰多,又持续高热,胸部CT提示肺部感染严重,进行抗感染的同时给予纤支镜治疗,经过多日的精心护理,陈大哥总算睁着眼睛从ICU出来了。虽然对外界仍没有反应,但是总算看到了希望。继续进行高压氧、针灸、推拿等康复促醒治疗后,陈大哥终于清醒了过来。
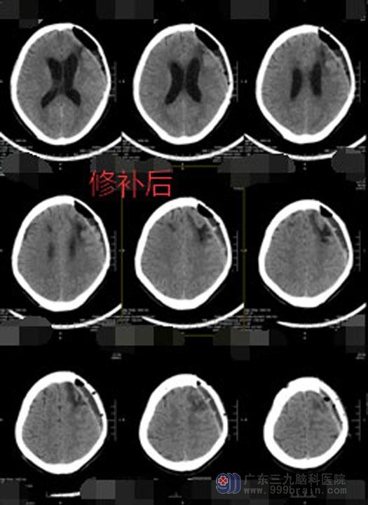
看到这个不一样的妻子,陈大哥特别心疼和感动,虽然右侧肢体偏瘫,但对他们一家来说这已经是很好的结果了。目前陈大哥病情好转,神志清楚,已经完成了颅骨修补。
这个家已经负债累累,但是妻子说,要选用最好的材料给丈夫补颅骨,“他能好起来比什么都重要,钱以后会慢慢挣回来的”。

▲入院时CT

▲治疗后CT

▲颅骨修补后CT

