无人机飞出的横祸
发布时间: 2019年12月23日 出处:神经外五科 作者:刘思苑 编辑:XL 点击次数:7475
5岁的珊珊是个活泼可爱的小姑娘, 11月22日那场飞来的横祸,让她在鬼门关走了一趟。
那天,珊珊像往常一样和小朋友一起在小区里玩耍。突然,一个小朋友的遥控无人机撞击到了她的脑门,当时她只是觉得头有点痛,就跑回家告诉妈妈:想睡觉了,之后出现呕吐,并逐渐意识不清,半个小时左右便陷入昏迷状态。
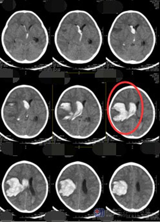
家人立即带她到当地的医院检查,头颅CT检查显示脑内血肿形成并破入脑室。此时珊珊已经深昏迷、气管留置插管,病情非常危急,需要马上开颅手术,由于当地医院的医疗条件有限,医生建议珊珊的父母立刻转院。

家人当机立断,连夜将珊珊送到了广东三九脑科医院神经外五科。入院时,她的双侧瞳孔已散大,不能发声、不能睁眼,刺痛肢屈。珊珊已经出现了脑疝,随时可能呼吸心跳骤停。当天值班的李医生立即向鲁明主任汇报患者病情并开通了绿色通道,在短短的半小时内就将珊珊送入了手术室,在全麻下行“血肿清除术+去骨瓣减压+气管切开术”,手术持续近6个小时。手术后,珊珊的瞳孔对光反射灵敏,“暂时算是把命保住了”。

经过术后的出血期、水肿期、感染期等重重考验,珊珊的病情终于日趋稳定。12月5日,珊珊妈妈喜极而泣:“护士快看看,珊珊醒了!醒了!”,十三个日日夜夜的坚守,奇迹终于发生了!目前珊珊已开始试封气管套管,能很清楚的跟家人进行交流,已转入康复科进一步康复训练治疗。
随着无人机“飞入寻常百姓家”,事故案例也随之增多。有飞机设计专家指出,虽然目前流行的这种无人机速度不快、范围不大,相对安全,但是,高速旋转的旋翼,还是会对人造成伤害;加上地面障碍物多,飞行环境复杂,最好不要在人多的地方玩飞行器,而且儿童不要独自操作,可以在旋翼外装上保护圈,减少危险性,避免这类悲剧重演。

