容易忽略的杀手
发布时间: 2021年02月08日 出处:神经外五科 作者:覃金花 编辑:XL 点击次数:5608
身强体壮的陈先生,一周前像往常一样上山砍柴,由于雨后路滑,他摔了一跤,磕到了脑袋;当时只是感到头有点痛,并未见到出血;陈先生的家人陪他到当地医院检查,头颅CT提示:脑出血。经过几天的保守治疗,陈先生的头痛症状不但没有缓解,反而逐渐加重。
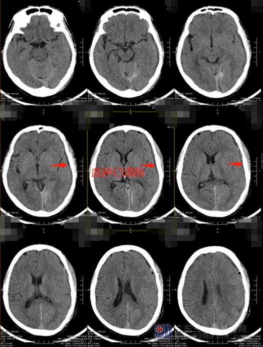
恰巧,陈先生在广州工作的亲戚回家省亲,听闻陈先生的事情后,建议他转至上级医院。他们连夜自驾车十几个小时将陈先生送到广东三九脑科医院。急诊入住神经外五科后,立即复查了头颅CT,显示:1.左侧额颞顶枕硬膜下亚急性血肿;2.左侧枕部大脑镰血下积血;3.创伤性蛛网膜下腔出血;4.右侧颈内动脉虹吸段钙化灶。

慢性硬膜下血肿的形态非常有特征性,其形态如新月,见到脑内出现“新月”,基本上确定为本病无疑了。慢性硬膜下血肿是发生在硬脑膜和蛛网膜之间的血肿,是非常普遍的神经外科疾病,早期症状不明显,CT常出现少量蛛网膜下腔出血,患者主要表现为慢性颅内压增高症状、神经功能障碍以及智能和精神症状,可伴有头痛偏瘫,也有一些患者无自觉症状,当血肿累积到特定量可能会危及患者生命。
诊断明确后,及时对陈先生进行了“左侧额颞顶枕部硬膜下血肿清除术”,术后几日,患者即痊愈出院了。

医院副院长、神经外五科主任鲁明提醒,90%以上的慢性硬膜下血肿都有外伤史,有些不小心磕到床头、门框,甚至一个不经意的拍头动作都有可能引起,因为外伤轻微,往往易被遗忘。对大多数患者来说,血肿很难自行吸收,而且多数会增加,因此手术是最快速有效的治疗方法。
所以,如果头部受过外伤,甚至是轻微的外伤,都要警惕慢性硬膜下血肿的发生,一旦有头痛、头晕等早期症状,应及时就医,早发现、早治疗会得到更好的效果。


