不可忽视的“老糊涂”
发布时间: 2014年12月18日 出处:综合神经外科 编辑:谢莉 点击次数:11392
老年人的记忆力随着身体各器官的老化以很慢的速度减退,这是自然规律,也是正常现象。但突然的记忆力下降,就要引起足够的重视。
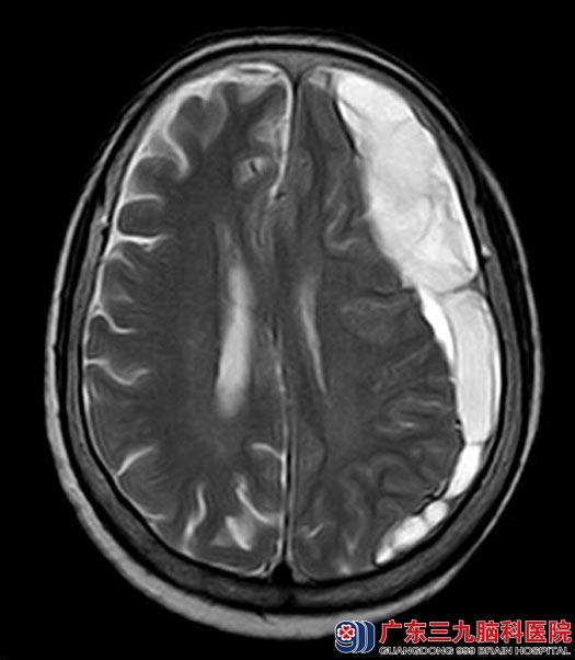
郭奶奶今年80岁高龄,十多天前出现记忆力下降,没有头痛、头晕等其它不适症状,家人未予重视;一周前郭奶奶的右侧肢体感觉乏力,家属送当地医院就诊,头颅MR检查提示:左侧额颞顶部硬膜下血肿。
“好端端的一个人怎么就脑出血了?”家属带着疑问咨询广东三九脑科医院综合神经外科鲁明主任。
鲁主任了解病史及查阅相关检查资料后告诉他们:老年患者多只有轻微的头部外伤史,由于当时未引起注意或因记忆障碍而遗忘,部分患者否认有外伤史,能提供颅脑损伤史的只占70%左右。钻孔冲洗引流术为治疗的首选方法。
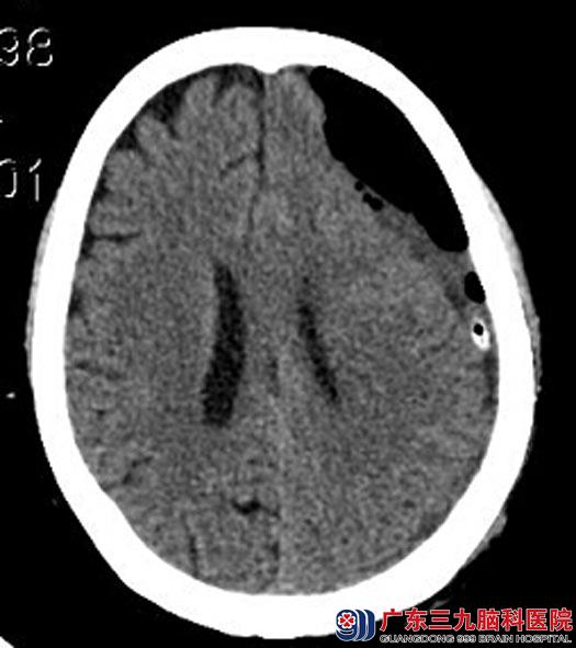
完善相关检查后,行左侧慢性硬膜下血肿引流术,术中见陈旧性血流出,伴有血凝块,术腔反复冲洗,直至没有血性液体流出。术后郭奶奶右侧肢体乏力症状明显好转,活动自如,顺利康复出院。

手术前

手术后
