http://www.999brain.com 时间:2017-02-14 编辑:lsw 阅读:10159
汤某,女,55岁,因“反复头晕1年余”入院。
查体提示:位置试验阳性,余未见阳性体征。
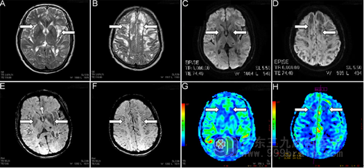
完善相关检查:血常规生化无明显异常;前庭功能检查提示:1.异常视频眼震图;2.位置试验阳性;颅脑MR提示:双侧大脑半球皮层及皮层下白质多发异常信号影,性质待定(图1A,B)。
根据患者症状及检查,明确诊断为:良性位置性眩晕,经过复位后头晕明显好转。但颅内多发病变性质不明,予以进一步完善弥散检查上述病变区亦示多发斑点状极低信号,余平扫病变呈SWI及DWI稍低信号,ADC图呈高信号,额叶病变ADC值为(2.25±0.49)×10-3mm2/s。(图1C,D);颅脑磁敏感成像提示:右侧小脑、双侧基底节区、双侧丘脑、左侧额叶、双侧顶枕叶多发含铁血黄素沉着可能性大(图1E,F);磁共振灌注成像:双侧额顶枕叶、双侧小脑半球弥漫性低灌注改变,考虑存在缺血改变(图1G,H);磁共振波谱分析:左侧半卵圆中心、左侧侧脑室前角旁病灶感兴趣区N-乙酰天冬氨酸峰均有不同程度降低,考虑存在神经元缺失。侧脑室旁异常信号影最终明确诊断为颅内巨大血管周围间隙。
据神经内一科医生介绍,血管周围间隙,即 Virchow-Robin 腔(VRS),也称为血管周围淋巴间隙,是神经系统内的正常解剖结构,具有一定的生理和免疫功能。VRS 可能会增大,可呈现出千奇百怪的外观,还可能产生占位效应。根据它的分布特点和信号强度,有助于与其他病变相鉴别。
由于案例较少见,全科讨论:上诉患者为中年女性,以头晕起病,临床确诊为良性位置性眩晕,但患者在行颅脑MR时无意中发现扩大的周围血管间隙,由于病变范围大,需要排除转移瘤、淋巴瘤、腔隙性脑梗死等疾病的可能。经过联合磁敏感、灌注、波谱等检查,最终得到确诊。一般来说,VRS属于神经系统内的正常解剖结构,但该患者磁共振灌注成像提示合并有双侧额顶枕叶弥漫性低灌注改变,磁敏感提示颅内多发含铁血黄素沉着,是否由于巨大的血管周围间隙所引起的病理改变,目前仍不清楚,这些影像学改变目前在国内外未见报道,仍有待进一步研究。


Copyright 2006-2026 广东三九脑科医院版权所有 粤ICP备11100995号 服务性质:非营利性网站 粤卫网审(2013)10号
粤公网安备 44011102002143号