作者:文/神经外十科 欧阳辉 樊雁峰 陈子阳 时间:2024-04-22 出处:外十科 点击次数:1412
【病例摘要】
患者,女,18 岁,因“左眼运动障碍、左侧听力下降、 饮水呛咳伴头晕、行走不稳 3 年入院”。
该患者于 2020 年开始无明显诱因出现头晕,呈阵发性,无头痛,后头晕发作逐渐频繁,伴行走不稳,同时左侧听力逐渐下降,伴有饮水呛咳,未行任何处理。2023 年 10 月 5 日体检行颅脑MR 检查提示左侧小脑占位伴幕上脑积水。曾在当地大型三甲医院就诊,建议保守治疗。后左耳听力显著下降,现为进一步诊治,来我院。
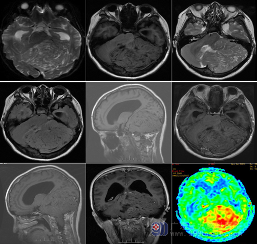
查体 :神志清醒,双侧眼球震颤,瞳孔不等,右侧瞳孔 3mm,直接间接对光反射灵敏,左侧瞳孔 4mm,直接间接对光反射迟钝,双眼视力显著下降,双侧视野缩窄,双侧鼻唇沟对称,伸舌偏左,闭目难立征阳性,一字步征阳性,指鼻试验阳性。头部 MR 提示 :左侧小脑半球 - 脑干巨大占位病变,继发枕骨大孔疝、幕上梗阻性脑积水,考虑小脑发育不良性神经节细胞瘤,左侧颞部蛛网膜囊肿,左侧小脑上动脉、小脑前后下动脉远端分支增多,MRV未见明显异常。听觉诱发电位 :左耳 80db 未引出,右耳80db 可引出。听力测试 :左耳 97db,右耳 30db。
入院诊断 :1、左侧小脑巨大占位,考虑小脑发育不良性神经节细胞瘤 ;2、枕骨大孔疝 ;3、幕上梗阻性脑积水。
诊疗经过 :2023 年 10 月 18 日在全麻下行扩大后正中倒“L”入路左侧小脑半球 - 脑干占位切除术。手术顺利,术后病理示 :(左侧小脑)小脑发育不良性神经节细胞(Lhermitte-Duclos 病),CNS WHO Ⅰ级 ;PCR 未检测出BRAFV600E 基因突变,PCR 未检测出 IDH1R132H 基因突变 ;FISH 未检测出 PTEN 基因缺失。
目前情况 :患者精神状态良好,生活自理。双侧眼球震颤,瞳孔不等,右侧瞳孔 3mm,直接间接对光反射灵敏,左侧瞳孔 4mm,直接间接对光反射迟钝,双侧视野缩窄,闭目难立征阳性,一字步征阳性,指鼻试验阳性。

头颅MR:左侧小脑、左侧桥臂示巨大团块状占位,呈等T1等变,原病变已大部分切除。T2、FLAIR序列等高异常信号影,间杂多发长T1长T2、FLAIR序列低信号影,DWI序列呈等稍高信号,ADC图呈等高信号,增强后可见散在线样强化影;病变往椎管内生长达C2椎体水平,邻近脑组织受压变形,小脑幕受压上抬。

头颈部CTA检查:左侧小脑半球、左侧桥臂巨大占位性病变突入椎管内,病变内可见多发条状不匀钙化影,其内及周围示多发细小血管影,双侧椎动脉及颈总动脉开口位置正常;邻近枕骨受压变薄。

手术过程:剪开硬膜见肿瘤组织,质白,呈巨大脑回样改变,血管位于脑沟内,肿瘤血供丰富,充分减压,大部分切除。

头颅MR:左侧小脑半球发育不良性神经节细胞瘤切除术后改变,原病变已大部分切除。

【专家点评】
欧 阳 辉 教 授 点 评 :小 脑 发 育 不 良 性 神 经 节 细 胞 瘤(Lhermitte-Duclos disease,LDD) 是一种罕见的位于后颅窝的肿瘤。LDD 主要是单侧发病,常位于左侧小脑半球。 LDD 临床症状多样,主要与病灶占位效应导致的颅内高压、小脑功能损害、脑干和脑室系统受压及其继发的梗阻性脑积水相关。Cowden 综合征 (Cowden syndrome,CS) 是一种罕见的常染色体显性遗传疾病,PTEN 突变能间接导致细胞增殖、迁移和肿瘤形成,主要位于皮肤、甲状腺、乳腺、胃肠道等,LDD 是 CS 的一种颅内表现。
MRI 是诊断 LDD 的可靠方法,并且能指导治疗方案的制定。肿瘤在 MRI T1 加权像上表现为低信号,在 T2 加权像上表现为沿小脑皮质走行的高低信号相间的条纹状结构,即“虎纹征”——此为典型影像学特征。DWI 高信号和表现弥散系数 (apparent diffusion coefficient,ADC) 下降。肿瘤 PWI 高灌注和 MRI 增强扫描无强化也是诊断 LDD 的重要指标。
LDD 的治疗包括手术和保守治疗。手术全切是治疗LDD 的最佳方式。肿瘤部分切除的患者可出现复发和恶性转化,但多数部分切除患者的残留病灶长期稳定,故部分切除仍能改善有症状患者的占位。
结合 MRI 表现和病理检查可确诊 LDD, 但合并 LDD 的CS 常被漏诊。临床医生应仔细对患者进行全身检查和家族史的询问,甚至患者的直系亲属均应该规律随访,以便尽早诊断和制订治疗方案。