作者:刘思苑 时间:2021-06-18 出处:神经外十科 编辑:lsw 点击次数:5840
彭阿姨是湖南人,今年48岁,平时在家帮忙带孙女,日子过得平淡但快乐。可是从去年开始,她饱受疼痛的折磨,连家务活都干不了了。先是出现颈部疼痛,去当地医院检查,医生诊断为颈椎病,给予康复理疗后疼痛有所缓解。好景不长,疼痛卷土重来,不得不再一次到医院进行康复治疗。最近半年颈椎出现持续性疼痛,右手麻木,抬不起来了,连梳头扎头发都成问题了。彭阿姨为此茶饭不思,人一下消瘦了不少。彭阿姨的丈夫看在眼里,记在心里,便开始到处打听有没有更好的治疗颈椎病的方法。终于,从远在广州工作的侄子那里传来振奋人心的消息,目前可以通过神经外科微创手术解决彭阿姨的问题。
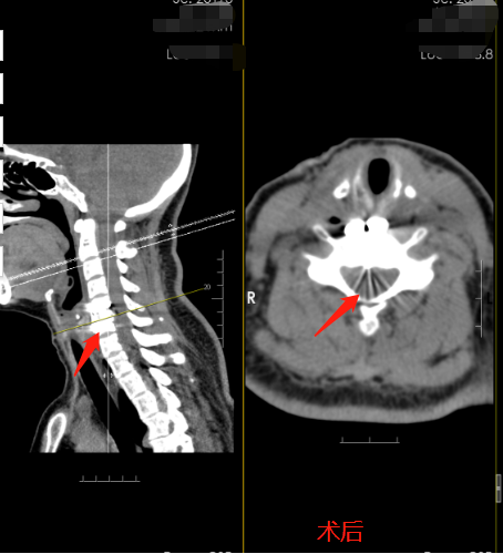
4月28日彭阿姨便马不停蹄踏上了南下广州的路。29日顺利入住的广东三九脑科医院神经外十科。主管医生热情的接待了她,详细询问病史后完善了相关的检查。医生解释,彭阿姨的颈椎病是属于神经根型颈椎病,是颈椎退变引起神经根的病变,主要表现为颈肩部疼痛、手臂和手指的麻木和无力,大部分经过颈椎牵引、针灸等物理治疗即可,像彭阿姨的这种经过保守治疗不能缓解的,可行手术治疗。手术需沿着颈部自然的纹理做3cm的切口,术后疤痕能最小化,显微镜下精细化的操作做到神经根充分减压,全程的神经电生理监测预警系统可以为手术保驾护航,出现瘫痪的概率极低。很快,神经外十科团队为彭阿姨制定了缜密的手术方案。4月30日,医生为彭阿姨进行了颈前路C5-6椎间盘切除减压融合术+神经根减压术。术后第一天彭阿姨惊喜的发现右手麻木消失,右手也可以抬起来了。彭阿姨的丈夫高兴的说,终于可以看见阿姨有笑容了。术后第五天,满心欢喜的出院回到湖南老家。


神经外十科欧阳辉主任介绍,目前颈椎病的发病比例越来越高,也就是我们现代人颈椎退化、老化来的较快,来的较多,这两个因素就引起了颈椎病的发病率增高。而神经根型颈椎病在保守治疗不能缓解的时候,可以考虑微创手术治疗,以前这种患者多找脊柱骨科、疼痛科就诊,但现在脊柱神经外科的微创手术更安全,效果更好,并发症更少。

