- 活动公告更多>>
-
- 警惕医托!一封患者和家属必读的信 05-20
- 8万人患病 6万不自知 09-29
- 过年催结婚 当心出癔症 02-11
- 用心思考,带思想来工作 10-13
- 人体重要的内分泌器官——甲状腺 09-06
- 简述单纯性疱疹病毒 06-24
- 典型案例更多>>
作者:zll 时间:2018-01-02 出处:神经内一科 编辑:lsw 点击次数:13934
最近,我院收治两个“奇怪”的病人:
帕金森?38岁男性患者,2年前出现双上肢不自主抖动,持物体时明显,安静时消失,双手精细动作欠灵活,同时出现言语不清,表达不流利,症状逐渐加重,发病后多家医院就诊,诊断为帕金森、小脑共济失调,症状无改善。
精神病?18岁男性患者,半年前发现易疲劳,睡眠差,并逐渐出现精神异常,表情呆滞,合并幻听、妄想,经常听到别人说要害他,言语含糊不清,伴有流涎、吞咽困难,双手发抖,四肢乏力,曾在外院诊断为精神病,服用抗精神病药物,症状无改善。
相关检查:
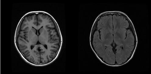
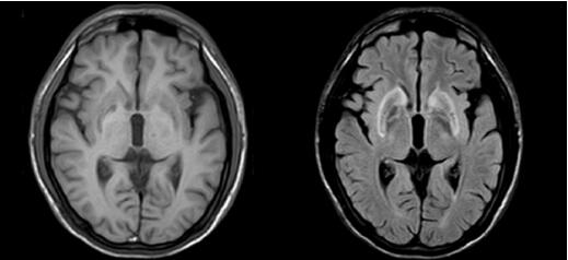
正常人头颅磁共振MR:

患者头颅磁共振MR:

T1加权像壳核、丘脑等处低信号病灶,苍白球呈等信号;T2加权像壳核、丘脑高或稍高信号病灶,但苍白球出现特征性低信号(可能与铜沉积的顺磁作用有关)。
图A为角膜色素环(K-F环),铜沉积于角膜后弹力层所致,绝大多数见于双眼,个别见于单眼。早期常须用裂隙灯检查方可发现。
图B为正常人角膜拍摄图
双眼如上图可见K-F环,铜蓝蛋白浓度减低,血常规、肝肾功能检验未见异常。
以上两个患者最终被诊断为肝豆状核变性,经过药物驱铜,对症治疗,限制进食含铜量高的食物后,症状明显好转。
【王展航主任点评】
肝豆状核变性是一种常染色体隐性遗传的铜代谢障碍性疾病,铜代谢障碍引起肝硬化、基底节损害为主的脑变性疾病为特点,世界范围内发病率为1/30 000~1/100000,致病基因携带者约为1/90。本病在中国较多见。好发于青少年,男性比女性稍多,如不恰当治疗将会致残甚至死亡。但也是至今少数几种可治的神经遗传病之一。
致病基因ATP7B定位于染色体13q14.3,编码一种1411个氨基酸组成的铜转运P型ATP酶。ATP7B基因突变将导致该ATP酶的功能损害,导致血清铜蓝蛋白(ceruloplasmin,CP)合成减少以及胆道排铜障碍,蓄积在体内的铜离子在体内肝、脑、肾、角膜等处沉积,引起进行性加重的肝硬化、锥体外系症状、精神症状、肾损害及角膜色素环(Kayser-Fleischerring,K-F环)等。ATP7B基因的变异位点繁多,人类基因组数据库中记载达到300多个位点。基因突变位点具有种族特异性,因此基因检测位点的选择要有针对性。我国肝豆状核变性患者的ATP7B基因有3个热点突变,即R778L,P992L和T935M,占所有突变的60%左右。近年来研究发现COMMD1,XIAP,Atox1等基因也与该病相关。
三九作为脑专科医院,我们收治的更多是肝豆状核变性脑型为主要类型,表现为帕金森综合征;运动障碍:扭转痉挛、手足徐动、舞蹈症状、步态异常、共济失调等;口-下颌肌张力障碍:流涎、讲话困难、声音低沉、吞咽障碍等;精神症状。但还需警惕肝豆状核变性肝型表现,如持续性血清转氨酶增高;急性或慢性肝炎;肝硬化(代偿或失代偿);暴发性肝功能衰竭(伴或不伴溶血性贫血)。以及以肾损害、骨关节肌肉损害或溶血性贫血为主的疾病表现。
患者朋友和广大医务工作者在看到类似疾病表现和检查结果时需要考虑肝豆状核变性可能。早诊断早治疗,一般较少影响生活质量和生存期。如果疾病诊断时已经进展到晚期,治疗效果不佳,少数病情进展迅速或未经治疗出现严重肝脏和神经系统损害者预后不良,致残甚至死亡。
