- 活动公告更多>>
-
- 警惕医托!一封患者和家属必读的信 05-20
- 8万人患病 6万不自知 09-29
- 过年催结婚 当心出癔症 02-11
- 用心思考,带思想来工作 10-13
- 人体重要的内分泌器官——甲状腺 09-06
- 简述单纯性疱疹病毒 06-24
- 典型案例更多>>
作者:邵传兴 王玉周 匡祖颖 王展航 时间:2018-07-30 出处:神经内一科 编辑:lsw 点击次数:28383
患者女,49岁,因“突发四肢无力伴精神异常2日”入院。否认高血压、糖尿病、冠心病等病史,因“子宫腺肌病”长期注射“达菲林”。患者2天前因下腹疼痛当地医院就诊,诊断为“子宫腺肌病”,未行治疗。当日晚间出现言语含糊不清,反应迟钝,双上肢抬举费力,碗筷无法持稳,凌晨3时上厕所时发现双下肢无力,需扶持行走,并逐渐出现精神异常,行为躁动,间有胡言乱语,无发热寒战,无意识不清。次日当地医院就诊,血常规示血红蛋白 59g/L,脑CT示左额叶类圆形低密度影,考虑脑梗塞可能,小脑幕、纵裂池密度稍增高,予静脉营养、纠正电解质、输注红细胞等对症支持治疗,治疗后患者肢体无力伴精神异常症状好转不明显,为进一步诊治拟“脑梗死”收入我科。入院查体:急性面容,心肺查体无异常,下腹部膨隆,压痛明显,无明显反跳痛,双下肢无浮肿。专科检查:神清,构音欠清,无吞咽呛咳,双侧瞳孔等大等圆,对光反射灵敏,口角无歪斜,伸舌居中,左上肢肌张力减低,左上肢近端肌力4-级,远端3级,左下肢肌力4级,右侧上下肢肌力4+级,左下肢痛温觉减退,深感觉减退,左侧腱反射活跃,踝阵挛(+),左侧病理征(+ ),右侧病理征(±),Romberg征(+),颈软,无抵抗。
入院后辅助检查:血常规:白细胞(WBC) 15.6×109/L,红细胞(RBC) 2.63×1012/L,血红蛋白(HGB) 69g/L,红细胞比积 0.22低,平均血红蛋白含量(MCH) 26pg,平均血红蛋白浓度 309 g/L,降钙素原(PCT) 0.33ng/ml;凝血功能:国际标准化比值(INR) 0.82, D-二聚体(D-Dimer) 8.71mg/L;贫血三项,血管炎相关抗体指标均未见异常。双下肢彩超:右侧股总静脉、股浅静脉流速较缓慢;左侧胫后静脉、左侧小腿肌间静脉血栓。

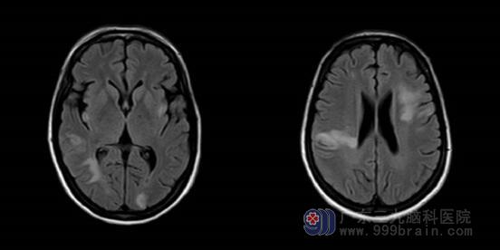
▲颅脑平扫+增强:双侧大小脑半球多发病变,需鉴别脑炎、脱髓鞘病变及血管源性病变。

▲DWI:双侧小脑半球、双侧大脑半球、桥脑右侧多发脑梗塞(亚急性期),左侧额叶异常信号影。

▲CTA未见明显异常
最终明确诊断为多发性脑梗死,梗死原因考虑为长期服用达菲林导致血液高凝状态,即易栓症。予抗凝、抗血小板聚集、改善情绪、补充铁剂、康复理疗,患者肢体无力症状明显改善,出院时基本无神经功能缺损。
【王展航主任点评】
1982年促性腺激素释放激素激动剂(GnRH-a)首次应用于治疗子宫内膜异位症以来,受到临床广泛应用。该类药物有曲谱瑞林(达菲林)、戈舍瑞林(诺雷德)和亮丙瑞林(抑那通)等。GnRH-a在小剂量时,对GnRH受体数量有上调作用,促进FSH(卵泡刺激素)、LH(黄体生成素)的释放,激发排卵。而当长期、大剂量应用GnRH-a时,则可以引起GnRH受体的“降调作用”和受体的“去敏感作用”,可以抑制垂体释放FSH、LH,从而抑制卵巢功能,使患者外周血循环中的雌二醇降至绝经期水平,达到类似“药物去势”或“药物性卵巢切除”效果。目前已经用于子宫腺肌病等子宫内膜异位症,子宫肌瘤,辅助生殖,异常子宫出血等妇科疾病。
越来越多的报道开始关注GnRH-a与心脑血管事件发生之间的联系。目前雌激素在女性心血管系统中所发挥独特的保护作用得到广泛认同,雌激素能有效地降低血液中促凝因子含量,提高纤溶系统活性并降低血小板、单核细胞等对凝血因子的反应性,降低血栓形成倾向。而长期使用GnRH-a导致低雌激素血症,使得凝血功能亢进而纤溶功能低下,增加血栓形成风险。现临床多使用GnRH-a添加小剂量雌激素、孕激素的反加疗法来降低血栓形成风险。
本例患者既往因子宫腺肌病长期注射“达菲林”,最终导致血栓形成,通过异常分流通道,如卵圆孔未闭等,导致多发性脑梗死。提示临床对促性腺激素释放激素激动剂使用史或低雌激素血症患者需警惕血栓形成,凝血功能筛查和下肢静脉、盆腔深静脉血管检查等辅助检查可提供帮助。
