- 活动公告更多>>
-
- 警惕医托!一封患者和家属必读的信 05-20
- 8万人患病 6万不自知 09-29
- 过年催结婚 当心出癔症 02-11
- 用心思考,带思想来工作 10-13
- 人体重要的内分泌器官——甲状腺 09-06
- 简述单纯性疱疹病毒 06-24
- 典型案例更多>>
作者: 时间:2018-07-30 出处:神经内一科 编辑:lsw 点击次数:28655
著名的柳叶刀杂志公布的最新数据显示:脑卒中是中国人死因的第一位。其中,绝大部分是脑梗死(中风)患者。以往对脑梗死缺乏有效的治疗方法,导致患者或遗留身体残疾,或卧床不起,甚至死亡,造成家庭和社会极大的负担。溶栓治疗再通率低,仅小部分患者能够获益,难以达到理想效果。近年来,在静脉溶栓的基础上桥接介入治疗得到行业内好评。而我院也率先开展此技术,并且已经成功治疗了十余名患者。现以其中一名患者为例报告如下:
患者中老年男性,平素喜抽烟,爱饮酒,既往高血压病史,控制欠佳。2017年9月6日下午16点50分突然出现左侧肢体无力,行走不能,伴言语含糊不清,被好心的路人于18点30分送入我科。入院查体:血压(mmHg):163/107,被动体位,心、肺、腹查体未见明显异常。神清,精神状态尚可,查体合作。构音欠清,双侧瞳孔等大等圆,对光反射灵敏,双侧眼球左侧活动稍受限,双眼右向凝视,左侧鼻唇沟浅,伸舌左偏,四肢肌张力正常,左侧肢体肌力0级,右侧肢体肌力5级,共济运动检查左侧肢体不能配合,四肢痛触觉粗测正常,左下肢腱反射亢进,左下肢病理征(+)。颈软,无抵抗。NIHSS:12分。
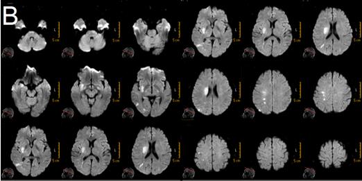
我院为患者立即开通卒中绿色通道,急查头颅DWI:右侧基底节、半卵圆中心、颞叶内侧、顶枕叶皮层多发急性梗塞灶,头部CTA显示右侧大脑中动脉M1段闭塞(图1);头部CT未见急性出血灶。诊断:“1.急性脑梗死;2.右侧大脑中动脉闭塞;3.高血压病2级 极高危组”明确。

图1 A:头颅CTA显示右侧大脑中动脉M1段闭塞(2017/9/6 18:38)

图1 B:右侧基底节、半卵圆中心、颞叶内侧、顶枕叶皮层多发急性梗塞灶(2017/9/6 19:17)
结合患者病史及查体评估,具有静脉溶栓指征,无禁忌症。请示王展航科主任后建议rt-PA静脉溶栓治疗,溶栓后桥接脑血管造影评估血管情况。告知患者家属病情,家属知情并同意溶栓及介入治疗。19:48开始使用rt-PA(50mg),15分钟后患者症状改善,左下肢肌力3+级,双侧眼球左侧活动稍受限,双眼右向凝视,构音欠清,左侧肢体肌力0级,右侧肢体肌力5级,伸舌左偏,左下肢病理征(+),NIHSS评分10分。20:15推入DSA室,行脑血管造影显示右侧大脑中动脉仍存在闭塞,立即桥接取栓+支架置入治疗,约22:30手术结束,术后大脑中动脉上干开通,血流速度恢复,大脑中动脉下干远端闭塞,但大脑前动脉可部分代偿,患者安返病房,生命体征平稳,复测患者NIHSS为6分,溶栓及桥接治疗有效(图2)。复查头部CT,明确无再通后出血,维持血压,预防患者再灌注损伤,定期评估患者NIHSS评分,密切关注生命体征,24小时后启动抗血小板治疗。8天后患者病情明显好转,肢体已恢复部分活动,可自行行走,查体仅遗留左侧肢体肌力5-级,余神经科查体无明显阳性体征。NIHSS:2分。请示王展航科主任,可予带药出院,嘱低盐低脂饮食,戒烟戒酒,控制血压。




图2 A、B为开通前的脑血管造影;C、D为脑血管开通后的造影显像
患者出院后1个月来我院复查,行走自如,活动灵活,无明显不适,神经系统未见阳性体征。NIHSS:0分。查头颅CTA对比PACS图像(2017-9-6 头颈部CTA),现:原右侧大脑中动脉M1段起始段闭塞已缓解、局部变细,远端分支明显减少较前缓解(图3)。

图3 A:1月后复查头颅CTA显示右侧大脑中动脉M1段起始段闭塞已缓解、局部变细,远端分支明显减少较前缓解。
急性脑梗死的静脉溶栓治疗虽然已经广泛应用于临床,但是目前研究数据提示其获益率仅1/3,血管再通率很低,尤其是对于大动脉闭塞的患者更难取得理想的效果。因此,一种新的治疗方法的应用与普及,直接关系到脑梗死患者的临床预后。血管内支架取栓对急性脑梗死的治疗来说是一种较为前沿的治疗方法。然而,回收取栓支架至导引管的过程中,可能会有微小栓子大量脱落,引起终末血管的继发性栓塞。
我院已成功开展急性脑梗死的桥接治疗,即急诊绿色通道下行静脉溶栓桥接介入取栓与支架植入术。这种联合治疗模式取长补短,弥合了各自的不足,可以使介入取栓时逃逸的小栓子被静脉溶栓所用的rt-PA快速溶解,减小继发栓塞率,改善微循环。而且,我院在行支架取栓时应用抽吸导管,能够吸住游离的血栓,最大程度上减小血栓脱落的风险。因此,静脉溶栓桥接介入治疗具有较高的有效性和安全性。
另外,我们汇总了白云区大部分医院对急性脑梗死的治疗方式,并且以地图的形式展示出来,为急性脑梗死患者的治疗提供力所能及的帮助。

