- 活动公告更多>>
-
- 警惕医托!一封患者和家属必读的信 05-20
- 8万人患病 6万不自知 09-29
- 过年催结婚 当心出癔症 02-11
- 用心思考,带思想来工作 10-13
- 人体重要的内分泌器官——甲状腺 09-06
- 简述单纯性疱疹病毒 06-24
- 典型案例更多>>
作者: 时间:2018-09-04 出处:神经内一科 编辑:lsw 点击次数:14082
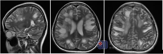
21岁云浮市女孩小美(化名)在2018年6月1日不幸车祸撞伤头部,头破血流,急送当地医院就诊,考虑“颅脑损伤”,经过当地医院治疗后,小美仍然感觉四肢乏力、反应迟钝,为进一步治疗转入广东三九脑科医院神经内一科。到医院的时候,她双眼无神,沉默不语,左边手脚只能稍微抬起,右边手脚力量也较弱,也不能自己吃饭,只能鼻饲饮食。
复查头颅核磁时发现,她颅内的病灶更多了,就像是成片的“肥皂泡”。

科室主任王展航教授看病人时,认为患者脑内多发病灶不能完全由外伤解释,进一步追问小美的家人,得知她外伤后接种过破伤风疫苗。这一重要的线索提示小美可能在颅脑损伤的基础上并发急性脱髓鞘脑病。通过进一步追查中枢神经系统脱髓鞘相关抗体,发现血清MOG抗体1:32阳性。最终将致病原因锁定为“MOG抗体介导的特发性炎性脱髓鞘疾病”。
在经过激素和丙种球蛋白序贯冲击治疗后,小美的病情迅速好转起来。治疗第二天,小美的眼睛变得有神了,眼球有追踪动作,治疗第三天,手脚力量好转,治疗第四天,能遵照医生指令做动作。很快,小美就可以在家人稍搀扶的情况下行走了。复查核磁,病灶明显好转,脑里的“泡泡”逐渐消散了。

王展航主任分析:髓鞘少突胶质细胞糖蛋白(myelin oligodendrocyte glycoprotein,MOG)抗 体相关的特发性炎性脱髓鞘疾病 (idiopathic inflammatory demyelinating disease,IIDDs),有学者称之为MOG抗体介导的IIDDs(简称为“MOG抗体病”)。50%的患者头颅磁共振平扫可见T2WI上高信号的脱髓鞘病灶,成斑片状弥漫分布,边缘不清,部分病灶有中心强化。大脑半球处病灶可表现为大片状,类似急性播散性脑脊髓炎样改变,部分患者发病前一月内存在疫苗接种史,特异性抗体(MOG抗体)检查对疾病诊断意义重大。MOG抗体病大部分患者急性期治疗后预后较好,对其早期识别及诊治能让患者受益更多。
