- 活动公告更多>>
-
- 警惕医托!一封患者和家属必读的信 05-20
- 8万人患病 6万不自知 09-29
- 过年催结婚 当心出癔症 02-11
- 用心思考,带思想来工作 10-13
- 人体重要的内分泌器官——甲状腺 09-06
- 简述单纯性疱疹病毒 06-24
- 典型案例更多>>
作者:hkf 时间:2019-01-16 出处:神经内一科 编辑:lsw 点击次数:34055
脑栓塞是由血液中的各种栓子,例如心脏内的附壁血栓、动脉粥样硬化的斑块、脂肪、肿瘤细胞、纤维软骨或空气等,随着血流进入脑动脉而阻塞血管而造成的。当侧支循环不能代偿时,就会引起被阻塞动脉供血区脑组织缺血性坏死,进而出现局灶性神经功能缺损。在各种栓子来源中,心源性的最为常见,大多数脑栓塞患者都合并有心血管疾病。而脑栓塞一旦发病,就会进展迅速,如果没有及时将栓子溶解或取出,就可能造成永久的瘫痪。
家住佛山的王阿姨今年已经61岁了,以前就出现过阵发性心房纤颤的情况,但是没有在意,感觉不舒服时就躺着休息一下,也没有规律服药。年关将至,王阿姨更没有想起自己的老毛病,满脑子都是怎么张罗好过年的事情,日子还是像往常一样,继续紧锣密鼓的忙碌下去。
但是没想到就在元旦的前几天晚上,王阿姨在打理家务活的时候,突然感觉胸口比往常更加烦闷起来,随后只是过了一小会儿,王阿姨就感觉自己的左手和左脚都动不了,半边身体也是麻木的,无法站起来。家里人发现王阿姨的异常情况后,赶紧开车将王阿姨送到邻近的医院。
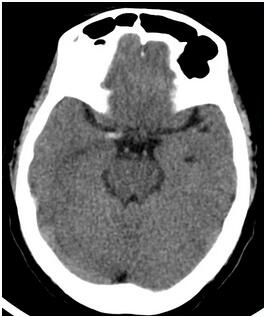
到达医院后,检查头颅CT影像,发现在右侧大脑中动脉处存在高密度影,考虑右侧大脑中动脉M1段出现栓塞。从晚上八点开始发病,到考虑是脑栓塞已经过了两个小时了。

此时尚处于静脉溶栓的窗口期,如果溶栓的效果好,就可以将阻塞的脑血管打开,重新建立供血。在积极的治疗思路下,家属同意按静脉溶栓处理,于是当地医院予以rt-PA60mg静脉溶栓治疗。
可惜就算是再成熟的溶栓治疗方案,也不可能保证每一次溶栓治疗都能达到良好的效果,只能在一定概率上让患者有了恢复的可能。这一次的溶栓治疗就没有达到预期,处于大脑中动脉位置的栓子并没有被溶解。在病因没有被解决的情况下,王阿姨的病情进一步发展,出现呕吐,双侧瞳孔不等大等危重表现。

所幸家属并没有放弃,在当地医院对王阿姨予以脱水减低颅压处理后,就立即联系我院。我院接到消息后,立即派救护车接回,并为王阿姨开通绿色通道。这时候已经第二天的凌晨四点了。
从发病到现在已经过了八个多小时,而且已经在外院做了溶栓的处理,此时采取静脉溶栓的治疗方案已经不适用,在这种情况下如果还想要进行积极的治疗,让王阿姨有恢复的可能,就得通过机械取栓,直接将栓子从血管中取出。
好在我院自2016起开展脑梗塞绿色通道以来,已经形成一套完整的流程,可在短时间评估后迅速为患者启动溶栓取栓治疗。虽然一般基层医院对错过溶栓治疗窗或者溶栓治疗效果不显著的患者已经无计可施,但我院还可行机械取栓术进一步治疗。

在神经内一科、介入室等科室的协力合作下,最终成功的将王阿姨脑血管中的血栓取出,恢复了脑部血供。当然,王阿姨发病的症状较重,而且从发病到取出栓子之间的时间间隔也较长,所以刚开始还要在监护室观察,但是随着王阿姨病情的稳定,几天之后就已经转入到普通病房中休养。


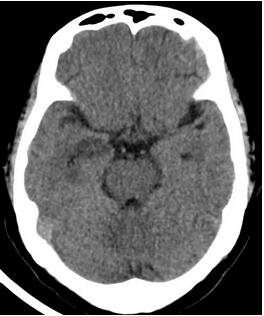
手术过了五天,神经内一科为王阿姨复查CT影像。可以看出,相比较手术前,右侧大脑中动脉的高密度影已经明显减轻了。

目前王阿姨的状态已经好了很多,相信再过几天,王阿姨就可以回家,和家人一起过一个幸福快乐的新年。
【专家指导】:
长期以来,治疗急性脑梗塞最好的方法是在发病 4.5小时内进行静脉溶栓治疗(rt-PA)。若使用国产的尿激酶进行溶栓,治疗时间窗可放宽至6小时,但疗效相应会减弱。无论是国产药物还是进口药物,溶栓的再通率均较低,仅有约33%的患者可完成血管再通。
近2年公布的一系列临床试验结果证实了机械取栓对于脑梗塞治疗的有效性和安全性。和静脉溶栓相比,出血的副作用更小,对治疗时间窗的要求可以进一步放宽至8小时甚至最长可放宽至24小时。因此该手术目前在国内外正在广泛开展。但是该手术对于人员和设备的要求较高,目前主要集中在三甲医院。
