- 活动公告更多>>
-
- 警惕医托!一封患者和家属必读的信 05-20
- 8万人患病 6万不自知 09-29
- 过年催结婚 当心出癔症 02-11
- 用心思考,带思想来工作 10-13
- 人体重要的内分泌器官——甲状腺 09-06
- 简述单纯性疱疹病毒 06-24
- 典型案例更多>>
作者: 时间:2019-02-12 出处:神经内一科 编辑:lsw 点击次数:4807
在生活中,很多人会偶尔小酌一杯酒,作为劳累工作之后的一种放松方式。喝得不多对身体并没有害处,可是如果没有节制,甚至是喝得“停不下来”,就会变成伤害身体的慢性毒药。
前段时间在广东三九脑科医院神经内一科接受治疗的李先生,有二十多年的酒龄。普通人喝一两斤的白酒会受不了,可到了李先生这里就只是“家常便饭”,基本上每天都要喝,日积月累下来,终于喝出毛病。
李太太说,在半个月前,李先生还是像往常一样饮酒,之后突然晕倒并出现抽搐症状。虽然情况紧急,但是李先生以前有几次也是因为喝酒入院治疗,所以李太太并没有太慌乱,有了几次应对经验的她抓紧时间打电话给其他家属,之后就立即把李先生送到附近的医院。
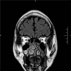
当地医院急诊行头颅MR检查发现双侧大脑皮层下出现多发非特异性白质病变,右侧小脑半球皮层斑片软化灶,并且有脑萎缩。这一下,李先生一家才真的傻了眼,没想到这次的情况要比以前严重得多。

等李先生从醉酒中睁开眼,就开始出现幻觉,不停说地上有很多蜈蚣在爬,还有一些陌生人从他眼前走过。同时还伴有走路不稳,像喝醉酒样的走路摇晃。急诊对症处理后,症状没有得到明显改善。
由于当地医疗水平限制,家属在医生建议下,将李先生转诊到广东三九脑科医院神经内一科进一步治疗。
入院后立即完善相关检查,予营养神经、改善认知、改善平衡、控制精神症状等对症支持治疗,并进行对症平衡康复训练。数日之后,症状有所好转,尽管还有些行走不稳,言语不清晰,但是困扰他的幻觉没有再出现了。
在和李太太谈到李先生的病情时,李太太有些无奈的对医生说,李先生性格固执,家里人劝他戒酒,但是屡劝不听,不仅在朋友相聚时会喝得伶仃大醉,而且在平时工作时也要喝上几杯才能安心,只有在喝得进了医院,查出肝脏功能已经受损后,才会忍住一段时间,可是过了几个月之后又变得和以前一样了。李太太表示,这一次吸取了教训,一定要想办法把李先生的酒瘾给戒断掉,要是下次再发生这样的状况,可能就不像这次一样幸运了。
主管医生匡祖颖指出,李先生这种情况为酒精中毒性脑病,同时伴有小脑变性,是慢性酒精中毒的累及神经系统的特征性改变,临床表现为精神障碍,认知能力下降,躯干及四肢的共济失调、眼球震颤、言语缓慢,部分患者合并周围神经损害。长期大量饮酒,出现精神症状、认知功能下降及小脑性共济失调,影像学提示全脑及小脑萎缩为其诊断要点。



神经内一科王展航主任医师表示,乙醇作为一种脂溶性物质,对脑组织有极强的亲和力,长期持续大量饮酒会损伤神经系统,造成胃肠功能损害,进而减低机体摄取维生素的能力,导致维生素B缺乏、糖代谢受阻、焦磷酸硫胺素减少、神经功能物质缺乏,最终表现为中枢神经、周围神经脱髓鞘和轴索的变性。
另外,酒精可作用于纤溶酶原激活物,导致纤溶酶原激活物失活,从而使血中纤维蛋白原不能正常降解,极大地增加血栓形成率;同时,乙醇中间产物乙醛可在患者体内和多巴胺合成内源性阿片样物质,从而作用于脑内阿片受体,引起中枢神经功能损害。
