- 活动公告更多>>
-
- 警惕医托!一封患者和家属必读的信 05-20
- 8万人患病 6万不自知 09-29
- 过年催结婚 当心出癔症 02-11
- 用心思考,带思想来工作 10-13
- 人体重要的内分泌器官——甲状腺 09-06
- 简述单纯性疱疹病毒 06-24
- 典型案例更多>>
作者:zll 时间:2019-02-25 出处:神经内一科 编辑:lsw 点击次数:17325
患者李某某,男,59岁,因“突发反应迟钝、行动迟缓20余天”于2018年08月下旬入院。患者20余天前无明显诱因突然出现反应迟钝,记忆力下降,近期记忆力下降为主(如出门往带钥匙),起病后以前会写的字也不会写了,伴行走迟缓,活动欠灵活,肢体僵硬,不能迈步,言语含糊不清,与家属交流变少,面部表情减少,时有头晕,恶心欲吐。于2018年8月下旬前往我院门诊就诊,行颅脑DWI+MRS:双侧大脑半球、双侧基底节区内外囊及双侧丘脑白质区为主弥漫病变,结合临床待排中毒性脑病,请结合实验室检查排除代谢性疾病;2.单体素MRS检查:左侧基底节区病灶感兴趣区于1.3ppm左右可见Lip峰,待排存在脂质代谢异常或坏死可能。神经心理测试:1、受试者存在帕金森病痴呆;2、受试者定向力、注意力和计算力、记忆力、言语能力及抽象能力较差。现患者为进一步诊治,门诊拟“帕金森综合征”收治我科住院。患者既往长期从事装修工作,近半年来有油漆接触史。
入院诊断:1、中毒性脑病? 2、帕金森综合征

图1:MRI示双侧大脑半球、双侧基底节区内外囊及双侧丘脑白质区为主弥漫病变,形似“火焰状”

图2:MRS示左侧基底节区病灶感兴趣区于1.3ppm左右可见Lip峰

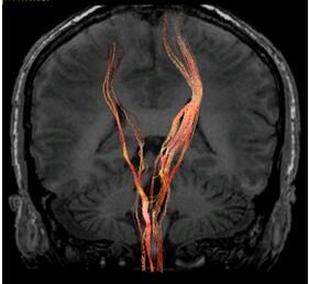
图3:DTI示右侧皮质脊髓束稀疏
入院后进一步完善辅助检查提示:外送尿有机酸检查未见异常。微量元素、脑脊液病毒四项、中枢神经系统脱髓鞘抗体(血清、脑脊液)等检查未见异常。颅脑MR:1、脑白质为主广泛病灶,考虑中毒性脑病;2、ASL检查脑白质病变相对低灌注;3、DTI检查右侧皮质脊髓束稀疏。综合分析后考虑患者为接触有机溶剂后的中毒性脑病,治疗上给予激素冲击、改善言语功能、缓解肌张力、补钾、补钙、护胃等药物治疗。经治疗患者精神状态好转,言语清晰,与家人交流增多,自觉症状明显改善,肢体活动明显较前灵活,可独立行走,记忆力与计算力均较前明显好转。
【专家点评】
广东三九脑科医院神经内一科主任王展航教授:有机溶剂具有常温下可挥发、亲脂性强特性,主要通过呼吸道吸入和皮肤黏膜直接接触进入人体,易在富含脂质的脑组织聚集,致中毒性脑病,其神经毒性机制包括溶剂脂溶性、神经递质异常及易感基因携带等。
中毒性脑病临床表现主要包括颅高压综合症、意识障碍、认知功能损害、锥体束损害、共济失调,个别病例伴震颤、癫痫和精神症状。影像上:MRI示双侧灰质核团及白质纤维明显受累,T1WI、T2WI高信号改变,DWI显示呈明显高信号,边缘清晰。脑电图呈慢波改变。部分患者腰穿压力显著增高。辅助检查:NSE(神经元特异性烯醇化酶)与中毒性脑病脑损伤程度密切相关,动态监测利于判定中毒性脑病病情和预后。患者起病早期经脱水降颅压、改善脑代谢、给予糖皮质激素、神经保护及对症治疗后预后较好。
本例患者主要以亚急性进展性认知功能损害为特征,病程中伴有肢体震颤、肌张力增高、迈步困难等类帕金森样症状。临床上中毒性脑病并不少见,可出现多种临床症状,易误诊。本案例提醒临床医生,在面对进展性痴呆患者时,也需警惕中毒性脑病,详细询问患者既往是否有毒物、药物接触史,有机溶剂暴露史等,结合影像及辅助检查结果综合诊断,及早识别此类患者,早期给予治疗后可获得较好的预后。
