- 活动公告更多>>
-
- 警惕医托!一封患者和家属必读的信 05-20
- 8万人患病 6万不自知 09-29
- 过年催结婚 当心出癔症 02-11
- 用心思考,带思想来工作 10-13
- 人体重要的内分泌器官——甲状腺 09-06
- 简述单纯性疱疹病毒 06-24
- 典型案例更多>>
作者: 时间:2019-09-24 出处:神经内一科 编辑:lsw 点击次数:5919
急性脑梗塞主要是由于血栓掉落引起远端血管闭塞,导致大脑供血的不足,进一步引起脑组织缺血缺氧坏死。一般来说,缺血坏死的范围会在3-12小时内固定,大脑越迟恢复供血,对生命的危害就越大。好在现在许多医院已经配备有专业的溶栓团队,若患者能在急性发作后4.5个小时内进行规范化的溶栓治疗,大部分患者能改善脑缺血症状,取得良好的疗效。然而若是患者闭塞的血管为大血管,则单一的静脉溶栓治疗常难以解决血管再通问题。
机械取栓是治疗急性脑梗塞的另一种常用方法,当静脉溶栓无效或效果不理想时,常可起到补救性作用。最新指南表示,针对因大血管闭塞引起的急性脑梗塞患者,推荐在发病时间窗内行桥接治疗,即在静脉溶栓后补充机械取栓,以提高血管再通率。近期入住广东三九脑科医院神经内一科的患者林叔,就是因为颅内大血管闭塞引起急性脑梗塞,经我院静脉溶栓后桥接机械取栓,在尽可能短的时间内开通闭塞血管,改善预后。
从十多天前开始,林叔就察觉到身体有些不舒服,头昏沉沉的。因为前段时间老伴摔倒,最近林叔一直在床边照顾,所以林叔还以为是自己休息不够,就没有在意,但过了几天,林叔在吃晚餐的时候突然倾倒在地,等再坐起身来的时候,碗筷已经拿不稳,并且伴有说话含糊不清,行走困难。在服用一粒安宫牛黄丸后,林叔的症状没有得到改善,随后子女紧急将林叔送往广东三九脑科医院神经内一科治疗。
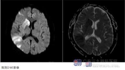
到达医院后,主管医生潘梦秋主治医生立即完善相关检查。查体:双眼向右侧凝视,左侧鼻唇沟变浅,伸舌左偏,构音不清,四肢肌张力正常,左上肢肌力4级,左下肢肌力3-级。我院DWI提示右侧颞叶、基底节-放射冠区急性脑梗塞;MRA提示右侧大脑中动脉闭塞。

经综合评估,患者具有静脉溶栓指征,无相关禁忌症。在告知患者家属病情及溶栓风险,并取得知情同意后,决定予以rt-PA静脉溶栓治疗。溶栓后1小时,患者症状得到改善,NIHSS评分由7分降为4分,但复查MRA,检查结果提示右侧大脑中动脉部分显影,考虑患者右侧大脑中动脉仍存在狭窄。
为减少血管再闭塞风险,考虑桥接介入取栓治疗,经告知患者家属介入治疗必要性及相关风险,家属知情同意后,即予以介入治疗。

术中将Solitaire SAB-4-20支架释放于大脑中动脉狭窄处,造影显示闭塞段血管复流,远端血管显影通畅。随后将支架拉出体外,可见支架覆盖有少量血栓,复查造影提示大脑中动脉M1段及大脑中动脉上、下干显影通畅,狭窄处较前好转。

住院治疗一段时间后,林叔言语已经恢复清晰,四肢肢体肌力提高,症状明显改善。
神经内一科王展航主任表示:静脉溶栓因操作简单、安全等特点,在临床上的普及率较高,常可以及时解决或改善急性脑梗塞患者的血管问题。但静脉溶栓受限于治疗时间窗,且该疗法需全身用药,因此起效慢。若患者合并有大血管闭塞,采用单一的静脉溶栓治疗往往不足以让血管再通。
近年来随着临床治疗器械的开发应用,机械取栓的安全性得到显著提高。2018年1月,美国心脏协会与美国卒中协会联合公布了更新后的急性缺血性卒中治疗指南,该指南明确指出,对于脑部大血管闭塞的患者,取栓治疗的时间窗可从6 h延长至24 h。对于静脉溶栓效果欠佳或是超出溶栓时间窗的急性脑梗塞患者,联合应用机械取栓或可取得更大的潜在效益,改善患者预后。
