- 活动公告更多>>
-
- 警惕医托!一封患者和家属必读的信 05-20
- 8万人患病 6万不自知 09-29
- 过年催结婚 当心出癔症 02-11
- 用心思考,带思想来工作 10-13
- 人体重要的内分泌器官——甲状腺 09-06
- 简述单纯性疱疹病毒 06-24
- 典型案例更多>>
作者:zym 时间:2020-04-21 出处:神经内一科 编辑:lsw 点击次数:4162
家住黄埔区的赵叔连续多日眼痛、头痛,突然又出现了耳痛、面瘫等症状,到医院检查,竟是感染疱疹病毒,患上了“亨特氏综合征”。医生说,如不及时治疗,可能留下面瘫、神经痛、面肌痉挛以及耳聋等后遗症。
赵叔今年55岁,是一位商人,身体一向不错。最近一段时间因工作量增加,赵叔经常需要加班熬夜,连续日夜颠倒地工作一段时间后,整个人变得疲惫不堪。
三月中的一个早上,赵叔醒来时莫名感觉左眼出现针刺样疼痛,触碰、风吹、强光等刺激后易流泪,后来赵叔开始出现头痛、呕吐等症状。到黄埔区某医院眼科就医时,医生并未发现赵叔的眼睛有何异常。经过眼科常规治疗后,赵叔眼痛、头痛等症状并未得到缓解。

有天早上睡醒后,除了眼痛外,赵叔发现自己左耳周围出现了一小撮皮疹、左耳有流脓,一阵阵地痛。随后几天,他还明显感觉到左脸麻木,连笑都困难!意识到情况越来越严重,赵叔担心是脑袋出了问题,随即来到广东三九脑科医院就医。
我院神经内一科主任王展航在查体的过程中,发现患者左侧面部肌肉僵硬、紧绷;左耳红肿、有少许流脓;左耳及周围皮肤长了些疱疹。从患者的症状来看,王展航怀疑是水痘-带状疱疹病毒侵犯造成的亨特氏综合征。


为明确诊断,在王展航指导下,神经内一科主管医生周丽华为患者安排了相关检查。结合症状及检查结果,赵叔的确是感染了疱疹病毒,被明确诊断为亨特氏综合征。
王展航解释,亨特氏综合征多发于患者抵抗力低下之时。可能是赵叔最近疲劳过度,导致免疫力下降,受到了疱疹病毒的侵袭。

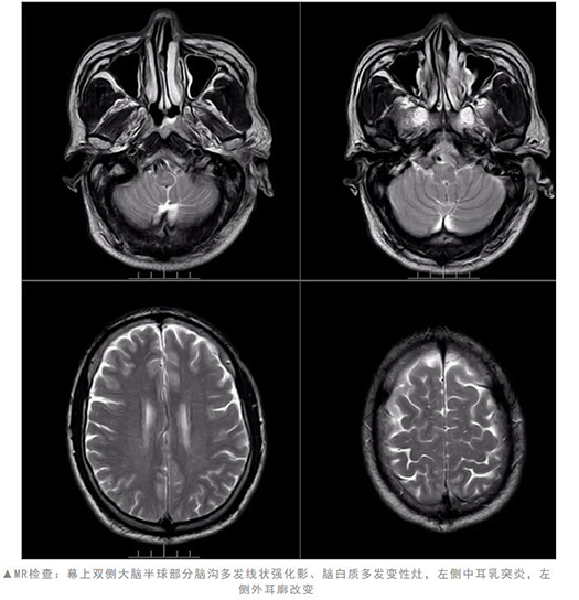
经过对症治疗,赵叔外耳廓疱疹已结痂,头痛、眼痛、面瘫等症状改善明显。
王展航介绍,亨特氏综合征又称膝状神经节综合征,是由水痘-带状疱疹病毒侵害面神经的膝状神经节所致,临床以耳痛、耳道疱疹、面瘫三联征为典型表现,并且可能伴有呃逆、听力和平衡障碍等症状。
值得注意的是,亨特氏综合征因病毒感染部位较深,涉及神经分布相对较多,故治愈难度较大、疗程较长。倘若治疗措施不力、调护不当,可能留有肌肉萎缩、面部麻木或刺痛、听觉过敏、耳鸣或失聪,以及不同程度的面瘫等后遗症。
王展航提醒,为了预防这类疾病,大家在工作之余要注意休息好,避免过度劳累。尤其是疫情期间,更要注意加强身体抵抗力,保证充足的睡眠,防止病毒“有机可乘”。

