- 活动公告更多>>
-
- 警惕医托!一封患者和家属必读的信 05-20
- 8万人患病 6万不自知 09-29
- 过年催结婚 当心出癔症 02-11
- 用心思考,带思想来工作 10-13
- 人体重要的内分泌器官——甲状腺 09-06
- 简述单纯性疱疹病毒 06-24
- 典型案例更多>>
作者: 时间:2020-06-29 出处:神经内一科 编辑:lsw 点击次数:4011
林嘉(化名)今年26岁,几年前因车祸做了右侧颅骨去骨瓣手术,术后行修补术。虽然手术保住了林嘉的性命,但在之后时常会有癫痫发作。经历这次事故后,林嘉未再上班,平时除了在家里活动之外,不敢再独自外出。
因为家庭经济条件有限,父母离开家乡到县城工作,将林嘉独自留在农村家中休养。每隔数日,父母会从县城回到老家,看望儿子的同时,顺便带上一些食物存放在家里。每当有吃不完的食物,林嘉就会储存到冰箱里,待加热后继续食用。这样的生活模式持续了数年,家里人都已经习惯了。
就在一周前的晚上,林嘉像往常一样从冰箱里取出存放的食物,简单加热后作为晚餐吃下了。接下来的几天,林嘉开始陆续出现头晕、头痛、发热等症状,最后出现意识不清,直到父母数次打电话没有接通,才发现异常,紧急赶回家中将林嘉送到当地医院。
在当地治疗期间,林嘉的病情出现急剧变化,不省人事,并伴有癫痫持续状态,医院对其进行对症的积极抢救,但是症状无明显缓解。为求进一步诊治,家属紧急将林嘉转至广东三九脑科医院神经内一科。
抵达医院后,通过与家属的沟通,结合外院的辅助检查结果以及林嘉表现出的癫痫持续状态,主管医生匡祖颖医生分析:患者青年男性,急性起病,此次以头痛发热后加重伴四肢抽搐为主要症状,查体浅昏迷状态,脑膜刺激征阳性,四肢腱反射减弱。考虑患者病情进展迅速,且伴有头痛、发热等症状,临床上需要与常见的细菌性脑膜脑炎相鉴别,下一步需要尽快完善腰椎穿刺检查和血液学检查以明确诊断。
入院后予以完善完善腰穿检查,测初压大于330mmH2O。
血常规+CRP:中性粒细胞比值,78.6%,高;中性粒细胞绝对值,15.4*10^9/L,高;白细胞,19.6*10^9/L,高;超敏C反应蛋白:3.05mg/dL,高。
降钙素原(PCT):12.34ng/ml,超高。
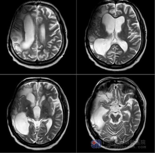
MR颅脑平扫结果提示:左侧额顶叶皮层异常信号,并颅内硬脑膜异常强化,考虑为感染性病变。

期间脑脊液细菌+真菌培养结果回报,提示:产单核李斯特菌(+)。
根据病史及病原学证据,明确诊断为李斯特菌脑膜炎,同时患者中性粒细胞、白细胞总数、降钙素原升高,结合临床症状,考虑合并菌血症,给予抗生素美罗培南治疗,并予以营养神经,预防癫痫等对症治疗方案。
经过一段时间治疗,林嘉情况稳定,各项指标恢复正常,对答流利切题,已逐渐恢复至发病前的健康状态。
神经内一科王展航主任表示:李斯特菌病是一种由单核细胞增多性李斯特菌感染所致的一种人畜共患病。该病菌在自然界中较为常见,由于能在冰箱冷藏室等低温环境下存活,所以人类极易通过食用被该菌污染的冷藏食品感染,比如未经高温消毒的乳制品和未煮熟的肉类等。
当免疫力正常的成年人误食入被大量该菌污染的食品后,容易出现发热性胃肠炎症状,由于这种类型的感染多为自限性,所以容易被人忽视。但对于幼儿、老人、孕妇等免疫力低下人群,李斯特菌可引发脑膜炎、败血症、发热性败血性胃肠炎、孕妇母婴和围产期感染等,病情严重时可致人死亡。
预防李斯特菌感染,公众需提高自我保护意识,养成良好的卫生习惯,如不食用未经过充分加热煮熟的食物,不断改善家庭饮食和食品储存习惯,定期对冷藏柜进行清洗消毒等,同时避免婴幼儿、孕妇、老人和免疫力低下人群食入加热不彻底的高危食品,从而降低李斯特菌的感染风险。
