- 活动公告更多>>
-
- 警惕医托!一封患者和家属必读的信 05-20
- 8万人患病 6万不自知 09-29
- 过年催结婚 当心出癔症 02-11
- 用心思考,带思想来工作 10-13
- 人体重要的内分泌器官——甲状腺 09-06
- 简述单纯性疱疹病毒 06-24
- 典型案例更多>>
作者:zym 时间:2021-11-15 出处:神经内一科 编辑:lsw 点击次数:4283
阿青的妈妈今年49岁,她一直觉得妈妈还挺年轻的,但前段时间阿青发现妈妈有点奇怪。明明前一天和妈妈聊天的时候还好好的,第二天妈妈就犯迷糊了,好像都有点不清楚阿青是谁了。
阿青问爸爸,有没有觉得妈妈有点奇怪。爸爸听后仔细想了一下,也觉得妻子有点不对劲。
据爸爸的描述,妈妈最近总是会忘记自己在干什么,不是开了煤气忘了关,就是刚用了微波炉却忘记把菜拿出来。对于妻子的健忘和粗心,阿青爸爸也没把这个放在心上,以为是正常的身体机能衰退,健忘也属正常。又过了几天,阿青爸爸观察到妻子的行为越来越奇怪,不仅经常自言自语,有时候跟妻子讲话,她常常答非所问。
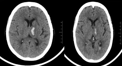
综合种种迹象,阿青和爸爸都以为妈妈精神出了状况,急忙带着她前往中山某医院做检查。外院医生立即为她做了相关检查,影像资料显示阿青妈妈左侧丘脑出血,高血压病3级。治疗后,效果并不明显。阿青急忙又陪妈妈来到广东三九脑科医院。
我院副院长,神经内科专家王展航接诊了患者。结合外院相关资料及追问病史,诊断患者为高血压脑出血。

影像资料显示异常
明确病因后,王展航立即为患者制定了针对性的治疗方案和康复疗程。好在患者出血量小,经过积极治疗后,现在她不仅能认得出阿青,并能对答如流。
王展航介绍,脑出血其实是脑卒中的一种,约占脑卒中的13%,由脑动脉破裂而导致周围组织局限性出血。引起脑出血的原因有很多,常见有高血压、头部创伤、动脉瘤、血管异常、出血性疾病或脑肿瘤等。“其中最常见的原因是高血压。该患者的高血压达到三级,属于高危级,这类患者更危险。”据相关数据显示,约有80%的脑出血患者有高血压病史,所以脑出血也常称为高血压性脑出血。王展航提醒,近来天气逐渐转凉,气温下降,人的血管弹性减弱,高血压脑出血患者往往会增加。
神经内一科主任行政助理匡祖颖介绍,脑出血的症状可表现为突发性剧烈头痛、恶心呕吐;无癫痫史,但出现癫痫发作;不能言语或无法理解别人讲话;吞咽困难;身体不协调,一侧手臂或腿无力;运动功能障碍:肢体麻木无力、刺痛;精神和认知功能障碍:如人格改变、消极悲观、精神萎靡、容易激动等。
脑出血病情凶险、致残率及死亡率极高。匡祖颖提醒,如出现以上情况要及时就医。


