- 活动公告更多>>
-
- 警惕医托!一封患者和家属必读的信 05-20
- 8万人患病 6万不自知 09-29
- 过年催结婚 当心出癔症 02-11
- 用心思考,带思想来工作 10-13
- 人体重要的内分泌器官——甲状腺 09-06
- 简述单纯性疱疹病毒 06-24
- 典型案例更多>>
作者:zym 时间:2021-11-30 出处:神经内一科 编辑:lsw 点击次数:4546
入睡困难,睡时易醒,醒后不易再睡……随着年龄的增长,很多人失眠的情况越来越严重。10月以来,70岁的林大爷开始失眠,经常翻来覆去睡不着,有次失眠甚至严重到连着两天没睡着片刻。尽管人已疲惫不堪,但愣是睡不着。
家人看着林大爷这般模样,心里也着急,还没来得及陪林大爷到医院检查,林大爷又出现了更严重的情况——他突然就不认人了,不仅不认识自己的儿媳孙子了,还怀疑他们都是坏人,几次出手打人,只有儿子林先生能靠近。林先生才意识到不能再拖,赶紧将林大爷送到了番禺某医院。
外院医生根据林大爷的相关检查结果及症状,初步怀疑是帕金森病及行为异常。但在当地医院治疗后,林大爷的情况并无好转,意识也越来越模糊。
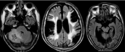
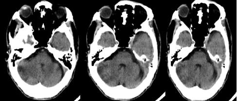
据林先生介绍,林大爷既往有高血压、房颤病史。自2011年以来,曾三次因脑梗住院,并遗留了饮水呛咳、肢体抖动等症状。入院后,我院副院长、神经内科专家王展航为患者完善了相关检查,发现他颅内有新的脑梗部位。为进一步明确病因,王展航又邀请了心理行为医学科专家及康复医学科专家进行会诊。经讨论分析,最终诊断患者为器质性精神障碍、右侧小脑出血性脑梗死(亚急性)及脑梗死后遗症。
考虑到患者年纪较大,有过三次脑梗死病史,王展航针对患者的情况制定了一套康复治疗方案,并随着治疗的进展,随时调整治疗方案。

“脑梗死的发生影响到与情绪相关的部位。相关脑组织受到损害,引起器质性病变,从而导致患者出现精神障碍。”对于患者的“精神异常行为”,王展航也做了详细解释。
经过积极治疗,林大爷从意识不清慢慢恢复清醒,已经能简单地和家人交流,也从卧床无法自理到能在他人搀扶下坐起。上星期回访得知,林大爷已无需搀扶,也能自己缓慢地走路了。

王展航介绍,脑器质性精神障碍好发于有脑外伤的人与有颅内疾病的人。“脑器质性精神障碍患者大多会表现为妄想、人格障碍、木僵、智能障碍、定向力障碍等。部分患者会伴随颅内压增高症状,严重者会并发痴呆。”患者素有高血压、脑梗死等病史,脑血管意外发生的概率明显增加;二是未能及时发现问题,精神障碍未引起足够重视,差点延误治疗。
神经内一科主任行政助理匡祖颖提醒,脑卒中具有高发病率、高死亡率、高致残率的特点,对脑卒中病人进行早期康复治疗,有利于防止或减轻功能障碍,提高日常生活能力。及时、规范的康复训练和治疗,可以有效降低病死率和致残率,因此对脑卒中患者的治疗,在常规药物治疗的基础上,应早期辅以康复治疗,这对改进患者预后、提高生活质量起着关键作用。


