- 活动公告更多>>
-
- 警惕医托!一封患者和家属必读的信 05-20
- 8万人患病 6万不自知 09-29
- 过年催结婚 当心出癔症 02-11
- 用心思考,带思想来工作 10-13
- 人体重要的内分泌器官——甲状腺 09-06
- 简述单纯性疱疹病毒 06-24
- 典型案例更多>>
作者: 时间:2021-12-02 出处:神经内一科 编辑:lsw 点击次数:4169
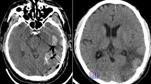
近日,张大伯突发头痛,痛感呈爆裂状,实在是忍不住了,家属带着张大伯前往当地医院就诊,CT检查显示左侧颞枕叶出血破入脑室。经过止血、降颅压、控制血压等治疗,张大伯没有明显好转,为了寻求进一步治疗前往广东三九脑科医院。
医院副院长、神经内科专家王展航接诊了张大伯,这时的张大伯已经出现意识不清。入院后立即完善相关检查,影像资料显示:左侧颞顶枕叶血肿区域显示异常。与神经外科会诊后,需紧急进行DSA造影检查以及左侧横窦区硬脑膜动静脉瘘栓塞术。医生与家属沟通并取得同意,手术过程中发现其血管畸形,在全麻下进行了“动静脉畸形切除术”+“左侧颞枕叶血肿清除术”+“硬脑膜修补术”+“颅骨成形术”,术程顺利。术后张大伯也积极配合治疗,为了能独立行走,努力做着康复······
转到普通病房的时候,张大伯已经可以下地走动了,他回看家人给她拍的昏迷时照片,张大伯感慨道:“原来我从死神那里走了一回”!



