- 活动公告更多>>
-
- 警惕医托!一封患者和家属必读的信 05-20
- 8万人患病 6万不自知 09-29
- 过年催结婚 当心出癔症 02-11
- 用心思考,带思想来工作 10-13
- 人体重要的内分泌器官——甲状腺 09-06
- 简述单纯性疱疹病毒 06-24
- 典型案例更多>>
作者: 时间:2020-12-08 出处:神经内一科 编辑:lsw 点击次数:6952
一提起打嗝、恶心、呕吐,很多人最先想到的就是胃肠道不舒服,但实际上,除了消化系统疾病,部分中枢神经系统疾病也可以出现类似的症状,例如卒中等急性脑血管疾病、视神经脊髓炎、多发性硬化、帕金森综合征等,一旦病变累及大脑延髓,患者就容易出现顽固性的恶心呕吐,药物难以缓解。
由于这类患者多数会合并有其他的临床表现,一般容易鉴别诊断,但对于小部分以恶心呕吐为唯一症状的患者,就容易被误诊,延误治疗时机,导致疾病进一步恶化。所以当出现类似症状,并且久治不愈时,需要及时去医院就诊,查明病因。近期入住我科的患者陈颖(化名),即是长期误诊为消化系统疾病,最终在我科明确病因,并在近期好转出院。
典型病例
今年7月底,陈颖刚结束中考,原本打算趁着假期好好放松一下,却没想一场怪病突然降临在她身上。假期刚过了几个星期,陈颖突然没来由的出现阵发性上腹部胀痛,打嗝,伴反复呕吐胃内容物,就这样忍受几天之后,陈颖一直没有好转,于是家里人带她到当地医院就诊,经过胃镜检查后,考虑诊断为胆汁反流性胃炎,在医院开了些药物就回去了。
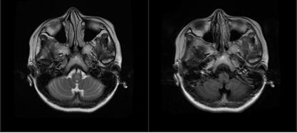
又过去了一个月,陈颖的症状不仅没有好转,而且病情还加重了,整个头部胀痛感,伴左侧脸面、肢体麻木感。至当地医院就诊,MR提示延髓及颈髓病变,按病毒性脑炎治疗后,症状没有明显好转。由于同乡人曾在广东三九脑科医院神经内一科治愈后出院,在听了别人的推荐后,家里人带着陈颖来到我院。
治疗过程
抵达我院后,匡祖颖主治医生考虑患者有明显消化道症状,外院诊查资料提示延髓及颈髓病变,初步诊断为中枢神经系统脱髓鞘性脑病,下一步完善检查明确病因。
住院后予以完善腰椎穿刺检查,并送检血清、脑脊液标本进行脱髓鞘抗体检测。检查结果回报:AQP4(血清)1:100,AQP4(脑脊液)1:32。

考虑患者有典型的视神经脊髓炎的临床症状与影像表现,且特异性的免疫标志物AQP-4(+),最终明确诊断为视神经脊髓炎。

明确病因后,经过静脉使用大剂量激素和丙种球蛋白冲击治疗,患者症状得到明显改善,头痛、恶心、呕吐等症状已基本消失。
【神经内一科王展航主任点评】
视神经脊髓炎(NMO)是一组体液免疫介导的中枢神经系统炎性脱髓鞘疾病,好发于青壮年女性,病变主要累及视神经和脊髓,复发率和致残率高,中枢神经系统水通道蛋白4(AQP-4)抗体是其较为特异的免疫标志物。临床有一组不能满足NMO诊断标准的中枢神经系统脱髓鞘疾病,但与NMO有相似的发病机制及临床特征,称为NMO谱系疾病(NMOSD)。
在NMOSD六组核心临床症候中,视神经炎、急性脊髓炎、最后区综合征最具有代表性。当抗体攻击第四脑室的延髓背侧等与呕吐反射中枢相关的区域,就会引起最后区症状,患者表现顽固性呃逆或恶心呕吐,这可以是疾病的前驱或唯一症状,需要引起临床医生的注意。
由于以最后区综合征起病的NMOSD患者早期消化道症状明显,多就诊于消化科或内科,易被延误诊治,加重患者残疾程度,增加患者复发几率。所以,当临床上遇到不明原因的顽固性呃逆、恶心、呕吐的患者,需要警惕NMOSD可能。建议对该类患者及时完善血清AQP4抗体检查和头颅MRI检查,避免误诊。
